歯並びの改善と身体の健康を目指す
「顎顔面矯正」
44万円

歯並びが整う以外に、次のようなメリットがあります。
- 後戻りの「リスク」軽減
- いびきの改善
- アトピーの改善
- 喘息の改善
- 鼻づまりの改善
透明なマウスピース型矯正装置「インビザラインファースト」による治療も可能です



歯並びが整う以外に、次のようなメリットがあります。
透明なマウスピース型矯正装置「インビザラインファースト」による治療も可能です














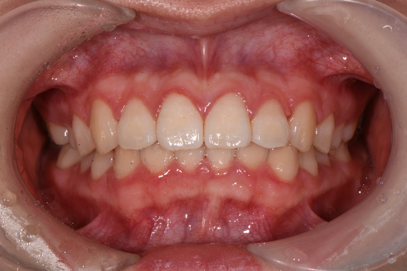
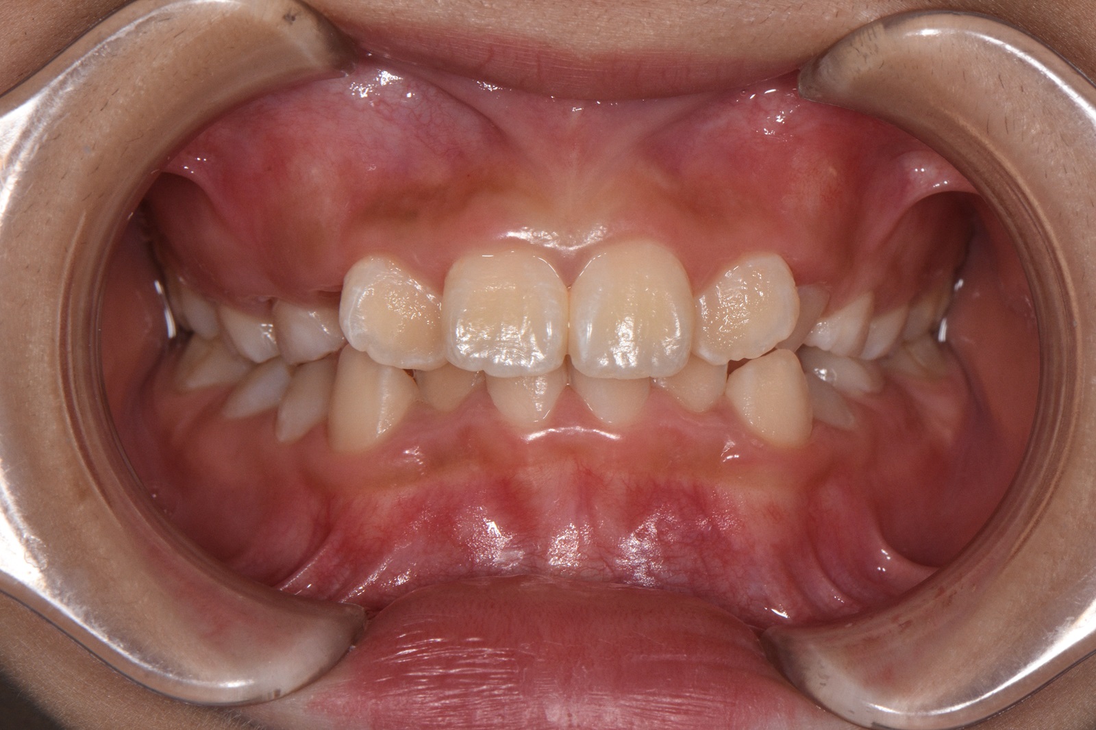
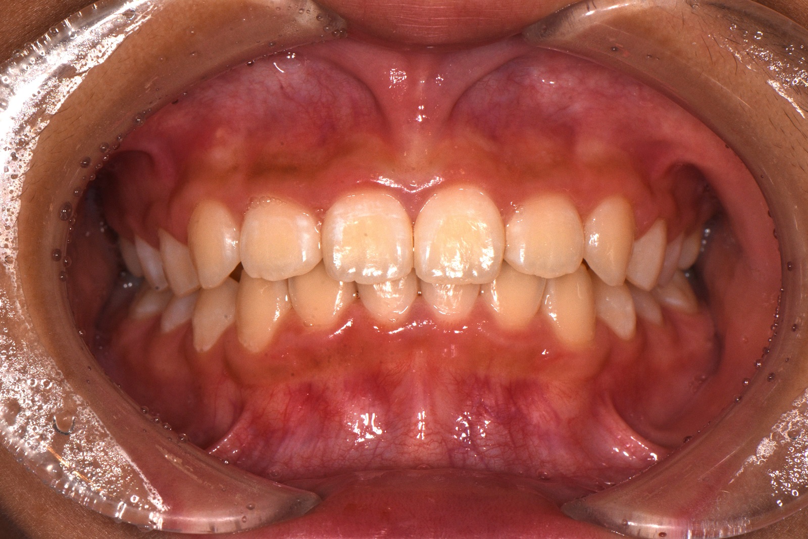
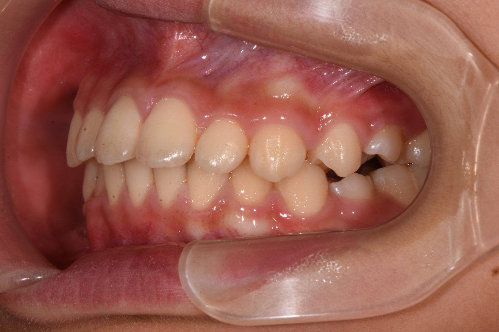
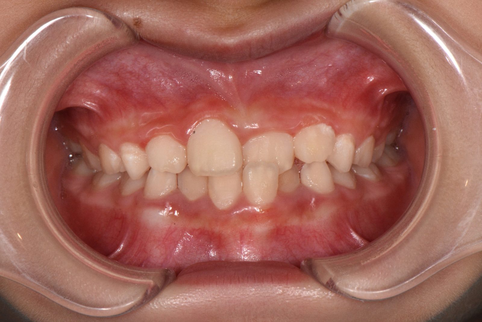
顎顔面矯正について説明する前に、「なぜ子供の歯並びが悪くなるのか?」という疑問にお答えします。簡単に言ってしまうと、歯が生える土台である「顎」が昔に比べて小さくなっているからです。これは食生活の「軟食化」と「咀嚼回数の減少」が原因です。顎の成長には適度な刺激が必要なのですが、現代では、ハンバーガーなど柔らかい食事を取る機会が多く、顎に十分な刺激がつ割りにくいため、顎が未発達になるケースが増えてきています。
一方、食事の栄養価は高くなっているため、歯自体は大きくなっています。つまり、狭いスペースに無理やり歯を並べようとする現象が起こっているイメージです。
一般的な矯正治療では、この状態を強制的に整えます。しかし、それでは根本的な改善にはなりません。なぜなら、一度並べた歯が時間の経過とともに元に戻ってしまうことが多いからです。
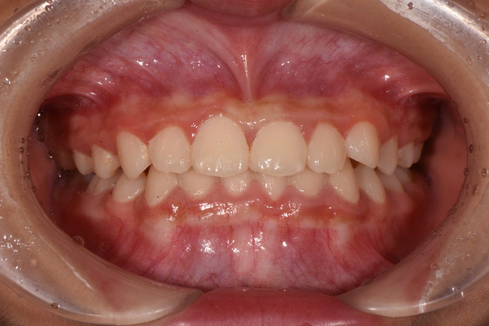
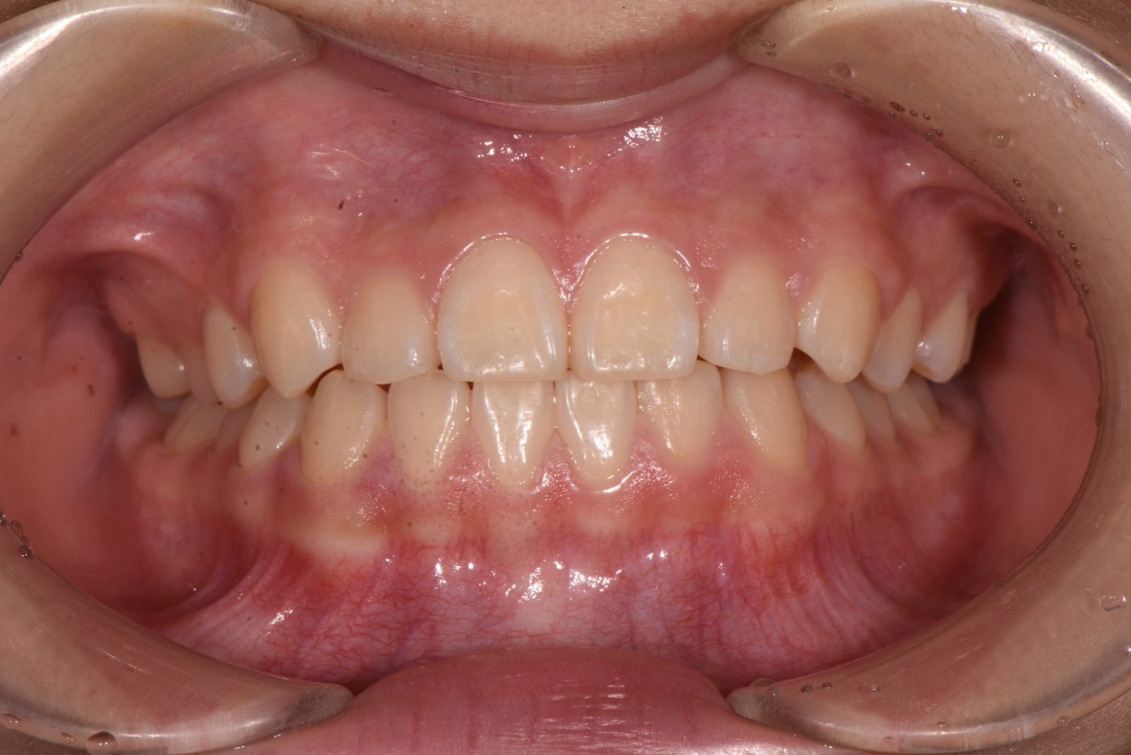
つまり、歯を適切に並べるためには「顎のスペースを広げる」ことが重要です。これまでにも「顎のスペースを広げる子供の矯正」は存在していました。有名なものに「床矯正」がありますが、これにはいくつかの欠点がありました。

顎顔面矯正は「顎のスペースを広げるアプローチ」を行う矯正手法ですが、床矯正のデメリットをすべて改善しています。さらに、次のようなメリットも期待できる矯正治療です。

なぜ、歯並びを整えることで、このようなメリットが生まれるのでしょうか。その理由についてご説明します。

専門的なお話になるため、簡単にご説明します。顎顔面矯正は、一般的な矯正とは異なり、「顎を拡大」するアプローチを取ります。特に「上の顎」を拡大することが大きな特徴で、これにより副次的なメリットが生まれます。
①上顎が狭いと鼻腔も狭くなり、鼻呼吸がしづらくなる。
↓
②鼻呼吸がしづらくなると、鼻の通気路で雑菌が繁殖しやすくなり、上咽頭炎を引き起こす。
↓
③上咽頭炎になると免疫異常が起こり、鼻粘膜や気管粘膜にアレルギー性の炎症が発生する。
↓
④アレルギー性鼻炎になることで、喘息が悪化する。
↓
⑤酸素が脳へ供給されにくくなり、脳の発達に影響を与え、学力の低下を招く。
このように、上顎の拡大が重要な要素となります。

顎顔面矯正のテーマの一つに「鼻呼吸」の獲得があります。鼻呼吸がうまくできないと口呼吸になってしまうのですが、口呼吸が習慣化すると、口内が乾燥しやすく、病原菌が体内に入るリスクが高まります。
さらに、口呼吸は歯並びを悪くする原因の一つでもあります。詳細は割愛しますが、口呼吸をしていると舌の位置が低くなり、上顎の成長が妨げられてしまい、歯並びの悪化につながります。
全身の健康、そして歯並びの改善のためにも鼻呼吸は非常に大切です。

プレオルソは軟らかいシリコン製のマウスピース型の装置です。歯並びではなく、お口周りの筋肉にアプローチして、歯並びが悪くなる原因にアプローチします。
装着時間は就寝時と日中の1時間ですので、学校生活等への影響もほとんどありません。

プレオルソと同じく柔らかいシリコンでできたマウスピース型の矯正装置です。優しく歯や歯茎に力をかけることで、歯並びを整えていきます。装着時間は日中2時間ほどですので、お子さんでも無理なく治療を続けられます

T4Kもシリコン製のマウスピース型矯正装置です。お口周りの筋肉のバランスを整えるために使用します。また、鼻呼吸を促す効果もあります。

歯並びが悪くなる原因は様々ですが、その一つに「口腔周囲筋(舌・唇・頬の筋肉)」の機能不全があります。
具体例として「舌癖」を挙げることができます。普段何もしていない時に、「舌が常に歯に触れている」場合、この癖に該当します。歯は、たとえ弱い力でも継続的に加わると動いてしまいます。そのため、この舌癖がある場合には、専用のトレーニングを行うことで、この癖を改善し、歯並びが崩れるのを予防します。

その他、当院では治療精度を向上させるために、次の取り組みを行っています。


矯正治療は、歯並びを綺麗に並べれば良いというものではありません。お口と顎や頭部とのバランス等を考えて治療を行う必要があります。そのため、当院では、頭部の側面や前面からX線を撮影し、顎や歯の位置関係、顔面の骨格構造を立体的に把握できる「セファロ」による診査診断を行っています。

マウスピース型矯正装置として世界シェアをNo.1を誇る「インビザライン」のお子さん向けの装置です。乳歯と永久歯が混在する時期のお子さんに使用されます。
透明で目立ちにくく、自分で取り外しができるため、治療中のストレスが少ないという特徴があります。また、固定式の装置と比べて痛みも少なです。
当院では、インビザラインファーストによる治療も可能ですので、ご興味のある方はご相談ください。
当院では、患者さんが抱えていらっしゃるお口のお悩みや疑問・不安などにお応えする機会を設けております。どんなことでも構いませんので、私たちにお話ししていただけたらと思います。
ご興味がある方は下記からお問い合わせください。
