入れ歯で、人生をもっと「豊か」にしませんか?
目立たない入れ歯:11万円~
- 痛みが少ない入れ歯
- 天然歯のようにしっかり噛める入れ歯
- 見た目が気にならない入れ歯






「入れ歯を使うと食事の味が楽しめない」
「しっかり噛めず、痛みもある」
「周囲に入れ歯であることがバレてしまったら恥ずかしい」
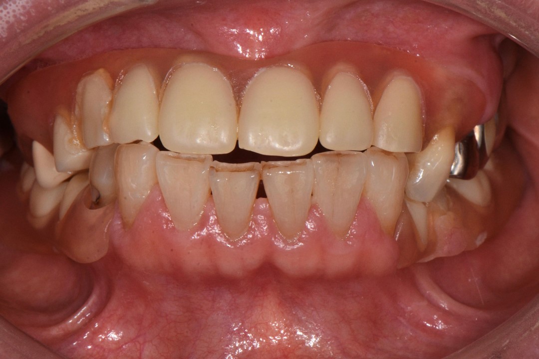
入れ歯に対して、このようなネガティブな印象をお持ちの方は少なくありません。事実として、これらは入れ歯のデメリットとしてよく言われるものです。デメリットが生じてしまう理由には、大きく分けて「3つ」あります。それぞれを詳しく紹介します。

私たちの口の中は、ちょっとした違和感でも感知するほど、非常に敏感です。例えば髪の毛一本でも入ると、すぐに分かりますよね。その髪の毛よりも「厚み」のある入れ歯が口の中に入れば、不自然な感触が生じ、話しづらさや食事が飲み込みにくいなどにつながることがあります。

入れ歯の形状と口の中の形状に「ズレ」があると、入れ歯が外れやすくなり、食べ物が歯と入れ歯の隙間に挟まることがあります。
このズレは、入れ歯を製作した時点で発生していることも多いです。つまり、製作工程や精度に問題があると、ズレの問題につながることがあります。

保険適用の入れ歯に使用されるプラスチック製の材料(レジン)は、時間の経過とともに歪んだり、たわんだりなど、「変形」することがあります。
これにより、咀嚼時の痛みや食べ物が挟まれる問題が生じ、入れ歯がズレてしまうなどの問題につながることがあります。
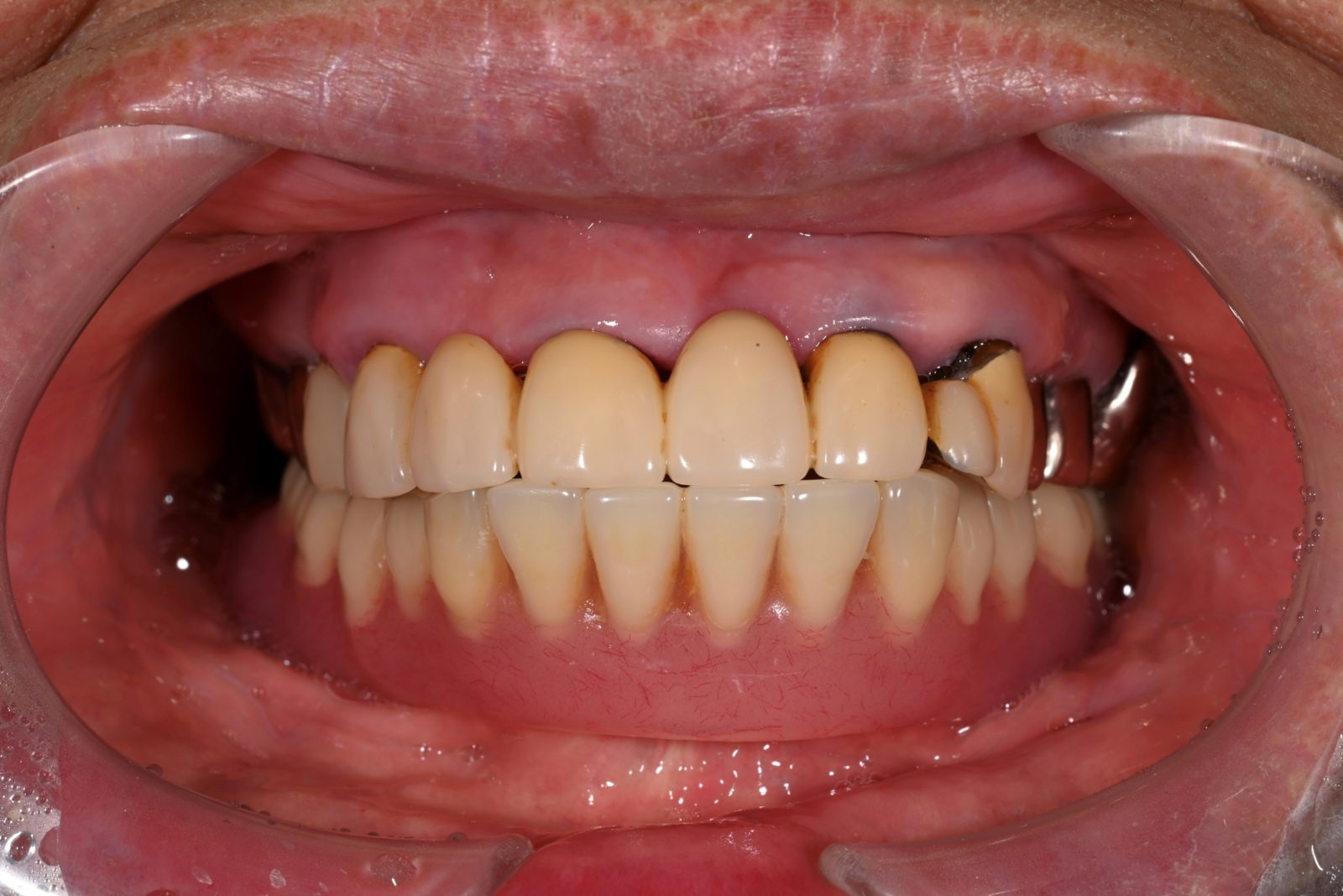
つまり、これらの原因を排除すれば、「しっかり噛める」「痛みを感じない」「外れにくい」という理想的な入れ歯を作ることも可能になるのです。結果として、入れ歯であっても違和感なく、快適に過ごせるでしょう。さらに理想的な入れ歯は、次のようなメリットも期待できます。

入れ歯がしっかり噛める状態であれば、口の中の感覚が正常に機能し、食材の風味や温かさを正確に感じ取ることができます。
これにより、食事がより楽しく満足感のあるものとなります。

噛めない入れ歯は、噛む力や飲み込む力を低下させ、食べ物が気管に入り込む「誤嚥性肺炎」のリスクを増大させます。
しかし、しっかり噛める入れ歯を使用することで、食事がスムーズになり、誤嚥性肺炎のリスクを軽減することができます。

飯能矯正歯科では、入れ歯作りにおいて患者さんのニーズに応えるため、機能性の回復に重点を置き、口の中での噛む力や飲み込む力を向上させることを目指しています。
そのような理想な入れ歯を作るため、入れ歯の「痛み」「外れやすさ」「目立ちやすさ」を解決できるよう、次のような「こだわり」を大切にしています。
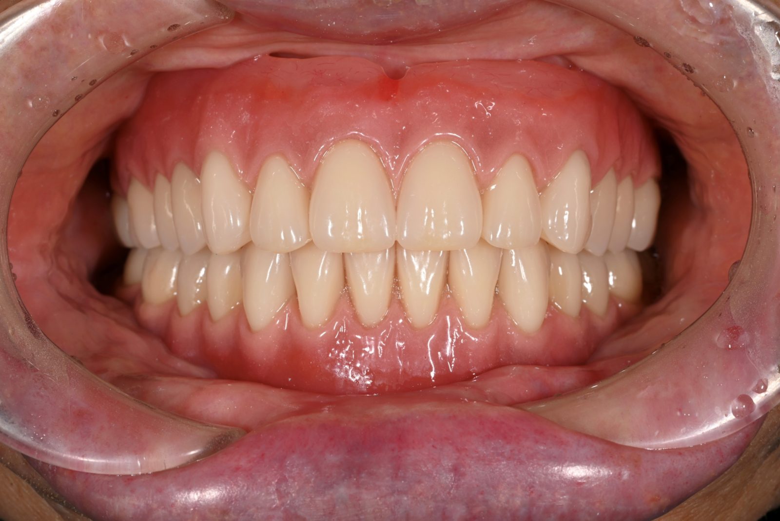
しっかり噛め、飲み込むことができる入れ歯は、食事面だけではなく、次のような効果にも期待ができます。

入れ歯が口にフィットすることで、口元のしわやたるみが軽減され、若々しい印象を保つことができます。入れ歯で「アンチエイジング」も可能なのです。
適切な噛み合わせ調整により、入れ歯が正確に咬合すれば、物をしっかりと噛むことができるようになります。これにより、「噛む力」が強化され、食事をより楽しむことができます。
入れ歯の調整により口腔内の筋肉が強化されると、「嚥下機能(飲み込む力)」が向上します。これにより、食事や飲み物の摂取がスムーズになり、食事の満足度が高まります。
なぜ、このような効果が得られるのでしょうか?その答えは「診断義歯」を活用していることがポイントとなります。通常の入れ歯製作とは異なり、当院では以下のような独自のアプローチを採用しています。
2つの工程を比べてみると分かるように、一般的な入れ歯製作では、歯型を採取した後、すぐに本義歯の製作に取り掛かりますが、当院では歯型採取後に「治療用義歯」をまず作製します。
合わない入れ歯を使っていると、噛み合わせは徐々にズレてしまうことがありますが、本義歯を作る前に治療用義歯を使用すれば、事前に噛み合わせのズレを修正することが可能です。しっかりと患者さんのお口に合った本義歯を作製するため、まず当院では噛み合わせのズレを修正する工程を入れています。

入れ歯が適切に機能するためには、顎の動きや筋肉の働きなど、細かなバランスを考慮する必要があります。そのため、当院では「CTスキャン」を活用しています。従来のレントゲンでは平面的な2次元画像しか得られませんが、CTを利用することで立体的な3次元画像を得ることができます。これにより、顎の動きや形状をより正確に把握し、それに基づいた入れ歯の製作が可能になります。

お口に合った入れ歯を作製するには、歯科技工士と呼ばれる専門家の力が不可欠です。実際に入れ歯を製作するのは医師ではなく歯科技工士です。そのため、当院では「有限会社ファイン」と「株式会社プロミネント」の連携を密に行っています。
| 有限会社ファイン 代表取締役 | |
| 新大阪歯科技工士専門学校 専攻科 非常勤講師 | |
| 大阪SJCDテクニシャンコース ディレクター | |
| ジンマーデンタル社 公認インストラクター |

入れ歯をはじめとした被せ物は、一般的な歯科医院では外注します。そのため、完成までに一定の期間がかかってしまうことがよくあります。
当院では有名な歯科技工所と密に連携を取り、治療期間の短縮に努めています。

被せ物の品質は、歯科医師と歯科技工士の連携具合に大きく左右されると言われています。被せ物を外注する場合、どうしても直接のやり取りが少なくなってしまいますが、当院では、しっかりと連携を取ることで、人工歯のクオリティ向上に努めています。
また、ケースによっては歯科技工士が立ち会って細かな調整を行うことも可能です。

当院では、患者さんのニーズにお応えするためにさまざまな入れ歯を取りそろえております。代表的なものをご紹介します。

入れ歯が目立ってしまう原因の1つに、入れ歯を支える金属バネが原因であることがあります。昔から、金属バネは入れ歯に使われているものですが、この金属バネの代わりに、異なった素材、色のものを使うことで、入れ歯が目立ちにくくなります。
具体的には、「ノンクラスプデンチャー」と呼ばれる入れ歯です。ピンクの樹脂製のもので入れ歯を固定します。歯茎の色に似ていて、口と馴染むので、人と話をされていても、入れ歯であることが気付かれにくいです。接客業や人前でお話される機会が多い方でも、安心してお使いいただけます。
当院では、このノンクラスプデンチャーをより快適なものにするため、以下のオプションを用意しています。

ノンクラスプデンチャーは、色がピンク色のため歯茎に馴染んで目立ちにくいというメリットがある一方で、耐久性は金属にやや劣ってしまうというデメリットが存在します。
その耐久性をカバーするために、目立たない部分に金属を使用するオプションがあります。目立ちにくさを残したまま耐久性を高め、しっかりと噛めるノンクラスプデンチャーになります。

歯茎の不快感や痛みを軽減するために、柔らかいシリコン素材をノンクラスプデンチャーの裏面に貼ることもできます。
その結果、次のようなメリットが生まれます。
☑ゴムのような柔らかいシリコンが痛みを和らげ、硬い食べ物も噛みやすい
☑シリコンの吸着率により、他の入れ歯と比べてズレたり外れたりしにくい

「バルプラスト」は、金属バネを使用しないノンクラスプデンチャーの一種です。アメリカでは入れ歯として50年以上の歴史を持ち、世界95カ国以上で広く使用されています。
素材自体が歯や歯茎の色に近いため、装着していることがぱっと見では分かりません。また、歯の根元部分に密着し、フィット感があります。
その他、柔らかい材料で作られているため、割れるリスクが低く、快適な装着感を実現します。さらに、金属バネを使用しない設計なので、歯にダメージを与える心配もありません。

「エステショット」も、金属バネを用いないノンクラスプデンチャーの一種です。一般的なノンクラスプデンチャーは、調整や修理がしにくいというデメリットがありますが、エステショットは調整や修理が簡単にできます。
また、薄い作りで軽量化されているため、装着時の違和感が少ないのも特長です。他のノンクラスプデンチャーよりも硬い素材でできているため、次のようなメリットもあります。
☑噛む力を歯肉に適切に伝えやすい
☑表面が傷つきにくく、長期間美しい状態を保ちやすい
☑変色や劣化が少ないため、長期間にわたって見た目を維持できる
☑金属製のバネを使用しないため、目立たず審美性にも優れている

「スマイルデンチャー」も金属バネを使用しない入れ歯で、透明感があり、歯茎の色とよく馴染みます。そのため、口元が美しく見えるというメリットがあります。また、強度や柔軟性にも優れており、薄く作製することも可能です。
入れ歯では、「食べ物をしっかり噛むことが難しい」という声をよく聞きます。このことは入れ歯のネガティブなイメージの大きな1つになっているかもしれません。しかし、当院では食事をしっかり噛み、快適に楽しめる入れ歯を提案しています。

「磁性アタッチメント義歯」は、装置同士を機械的にはめ込むのではなく、磁力を活用して維持力を高める入れ歯です。
義歯が外れたり落ちたりしにくくなり、他の歯への負担がかかりにくいのが特徴です。

「インプラントオーバーデンチャー」は、インプラントと呼ばれる人工歯根を用いて、入れ歯を固定する治療方法です。
顎の骨に埋め込まれたインプラントによって、入れ歯がしっかりと支えられます。
主に総入れ歯の方におすすめの入れ歯です。総入れ歯の場合は、通常2本から4本のインプラントを顎に埋め込み、その上に入れ歯を固定します。まるで自分の歯のような安定感と噛み心地を実感できます。また、取り外しも簡単で、ご自宅でのケアも容易です。

「コーヌスクローネ義歯」は、自分の歯に合わせて作られた筒状のキャップを土台として使用し、その上に入れ歯をスムーズにはめ込んで固定するタイプの入れ歯です。金属のバネを使用しないため、見た目が自然でありながら、取り外しも容易であり、お手入れも簡単です。

入れ歯は一般的に「使いづらい」と考えられがちですが、それは自分に合った適切な入れ歯を見つけていないからかもしれません。
当院では、入れ歯製作に時間と手間をかけ、患者さん一人ひとりに合った入れ歯を丁寧に製作しています。その結果、単に噛めることだけでなく、噛む力や飲み込む力を向上させ、口元の若返りも実現できます。
入れ歯に不満を感じている方や入れ歯治療を検討している方は、ぜひ一度当院をご訪問ください。患者さんに合った、ぴったりの入れ歯をご提案いたします。
当院では、患者さんが抱えていらっしゃるお口のお悩みや疑問・不安などにお応えする機会を設けております。どんなことでも構いませんので、私たちにお話ししていただけたらと思います。
ご興味がある方は下記からお問い合わせください。
