幅広い症例に対応できる
表側(唇側)矯正
38.5万円~
- デンタルローンの利用可能
- 無料相談受付中
~セカンドオピニオン(無料)も可能です~

~セカンドオピニオン(無料)も可能です~









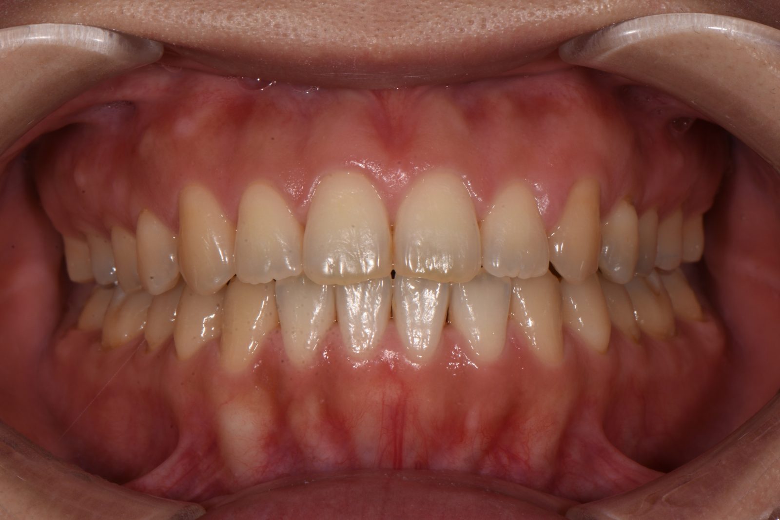
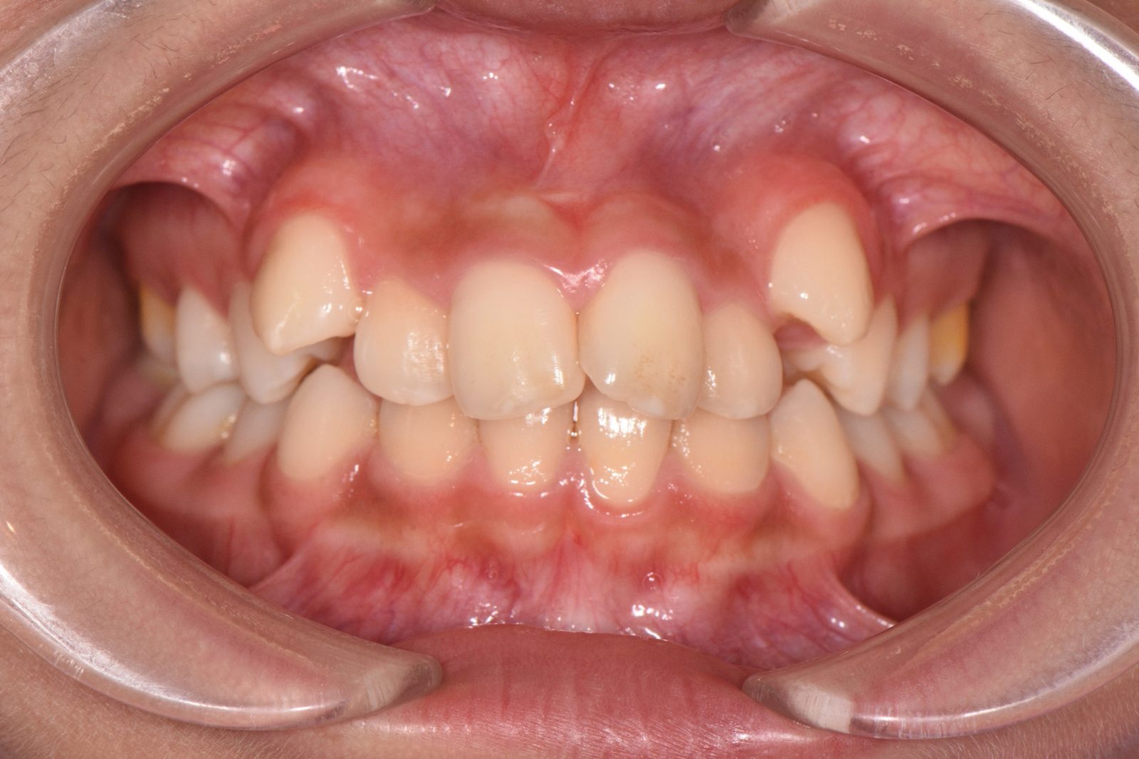
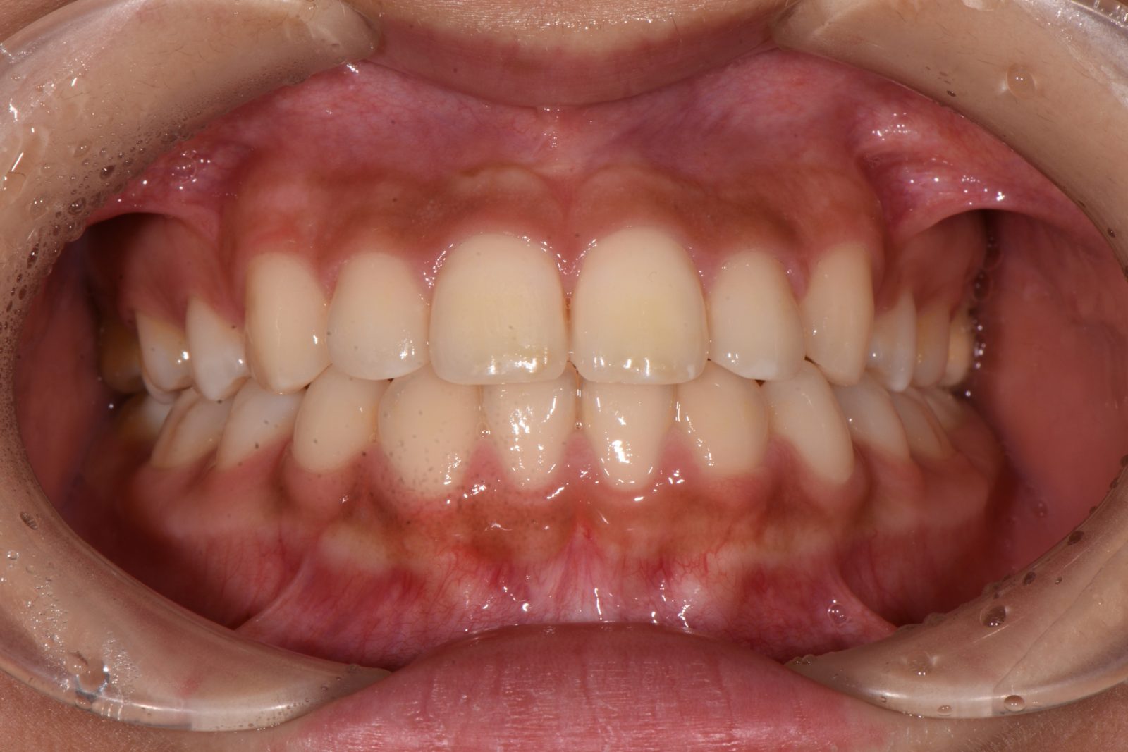
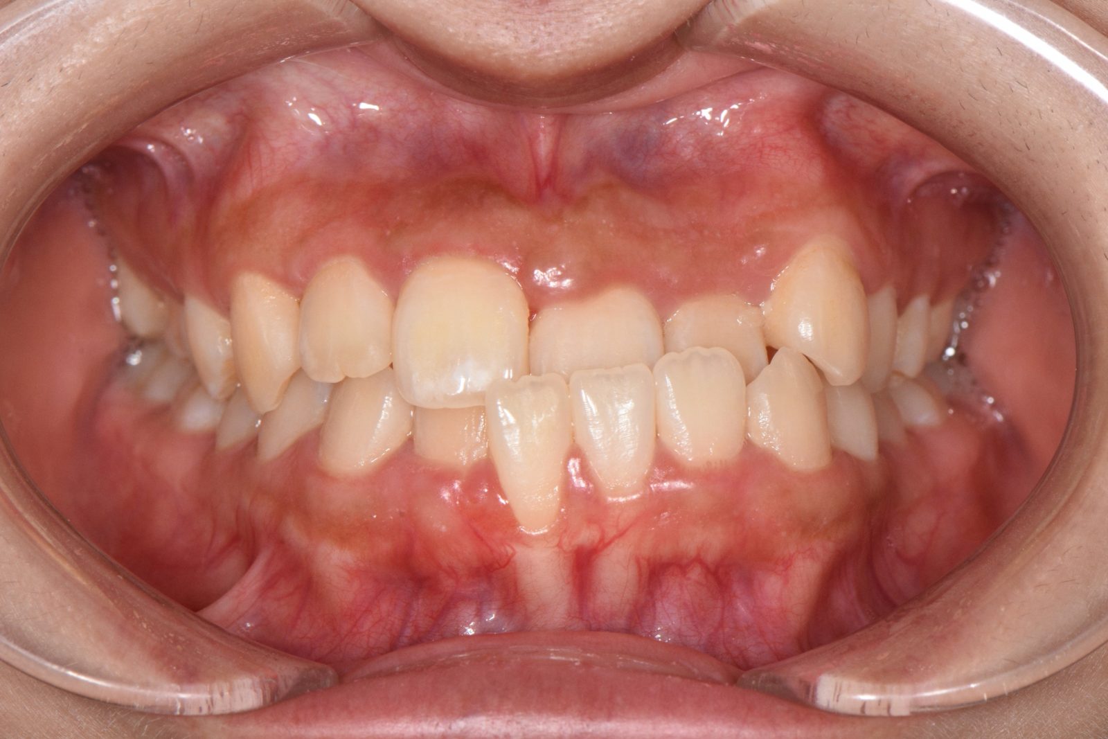
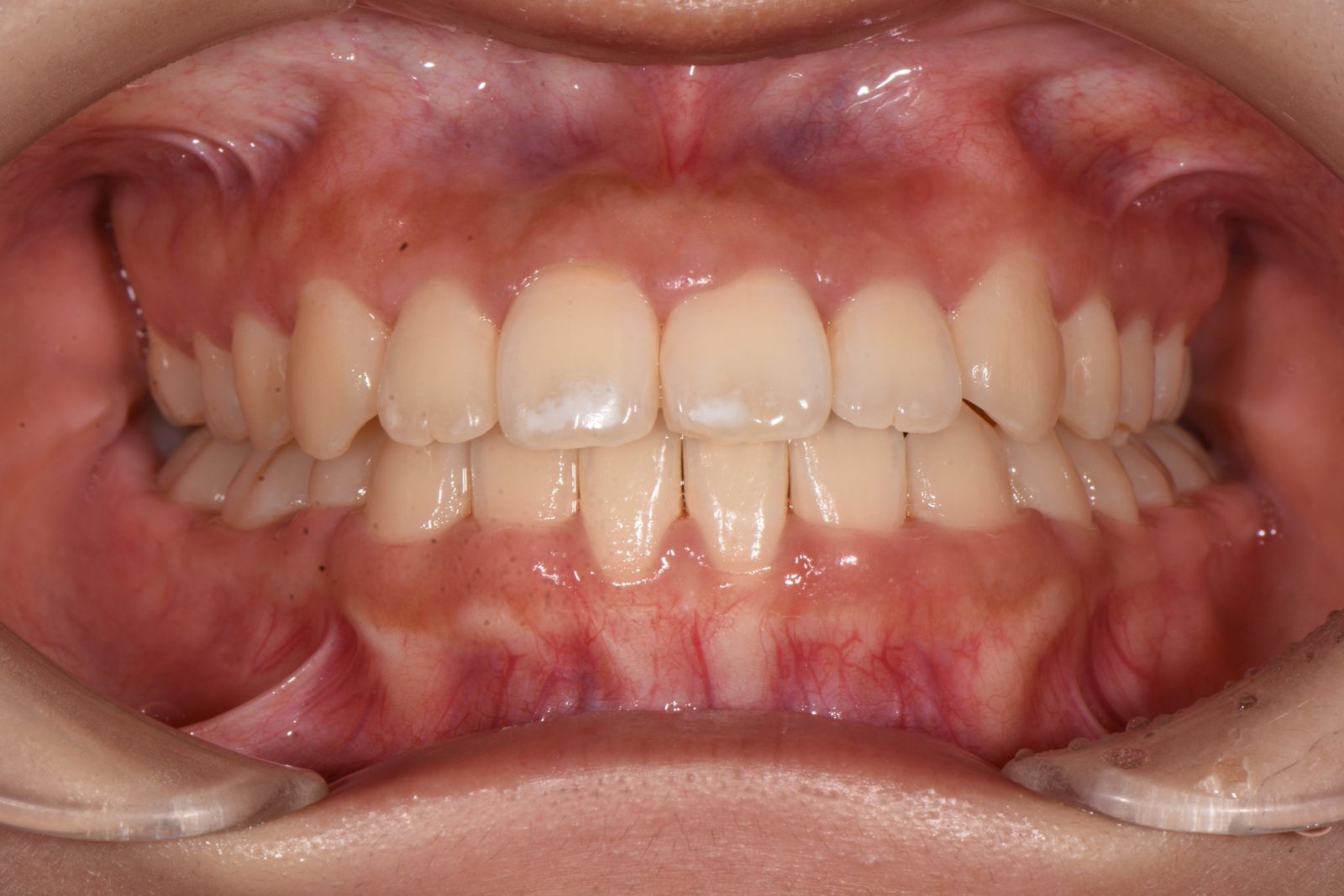
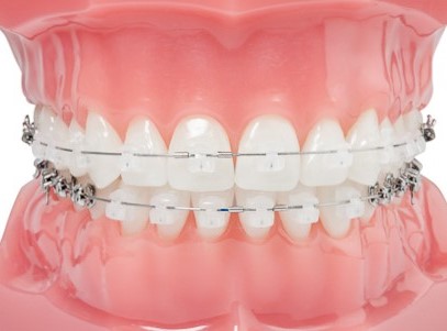
表側(唇側)矯正とは、歯の表側にブラケットやワイヤーなどの装置を装着し、歯を動かしていく治療法です。矯正治療と聞くと、この表側矯正をイメージされる方も多いと思います。
最もポピュラーな矯正治療の方法で、見た目が目立つなどのデメリットが挙げられがちですが、幅広い症例に対応できる優れた治療法でもあります。

一般的に表側矯正と言うと、金属のブラケットとワイヤーを使用することが多いのですが、これでは治療中の見た目が気になります。そこで当院では、ブラケットやワイヤーを目立ちにくくする工夫をし、治療中の審美性向上に努めています。
例えば、ブラケットは、金属の他に、プラスチックやセラミックにすることで、歯の色と馴染み、ほとんど目立たなくなります。
また、ワイヤーをホワイトコーティングされたものに変えることで、より口元の審美性が保たれます。患者さんのお好みに合わせて組み合わせることができますので、どうぞお気軽にご相談ください。


マウスピース矯正や裏側矯正と異なり、「表側矯正」は装置の種類が多く、幅広い症例に対応できます。

歯の表側に装置を取り付けるため、舌が装置に触れることがほとんどなく、食事や発音の影響が少ないです。

装置が歯の表についており、仮に食べ物が挟まっても鏡で確認しやすく、簡単に取り除くことができるため、衛生状態を保ちやすいです。

裏側(舌側)矯正やマウスピース矯正と比べて、費用を抑えられるため、リーズナブルに治療を受けられるというメリットがあります。


歯の表側に装置を装着するため、矯正していることが周囲から分かりやすいです。当院では、プラスチックやセラミックのブラケット、ホワイトコーティングのワイヤーなどを使用し、目立ちにくい工夫をしています。

装置を表側に付けるため、治療初期は、唇が突っ張ったような感覚になることがあります。また、口が閉じにくくなるケースもあります。

治療中は装置の取り外しができないため、食べ物が挟まりやすくなります。見た目が気になることに加え、歯磨きも通常よりしづらくなります。

矯正装置がお口の柔らかい部分にあたり、口内炎になることがあります。時間の経過とともに、身体が慣れてくるとなりにくくなるためご安心ください。
当院では、患者さんが抱えていらっしゃるお口のお悩みや疑問・不安などにお応えする機会を設けております。どんなことでも構いませんので、私たちにお話ししていただけたらと思います。
ご興味がある方は下記からお問い合わせください。
