「裏側矯正」だから目立ちにくい
- 「出っ歯」の改善に向いている矯正
- 虫歯のリスクを軽減/表から見えにくい
- 「ライトフォース」で痛みを抑えた矯正治療の実現





矯正治療に「痛みが辛い」「治療期間が長い」といったイメージを持っている方も少なくありません。
しかし、このマイナスなイメージが矯正の当たり前になっているのは、昔のことです。
現代の矯正治療では「痛みが少ない」「短い期間でキレイな歯並び」などが当たり前になっています。今までの矯正は、期間を短くしようと歯に大きな負荷をかけて動かそうとしていましたが、歯に大きな力をかけると根の周りにある歯根膜という薄い膜にダメージを受けて血行不良が起きます。歯根膜の血管が押しつぶされて血行不良が起きることで歯が早く動くわけでもなく、痛みが生じます。
一方で近年の矯正装置、「セルフライゲーションブラケット」や「弱い力しか発生しない素材のアーチワイヤー」には「ライトフォース」の技術が備わっています。
ライトフォースとはその名の通り、light(少ない)force(力)で歯を動かすことを意味しています。ライトフォースの技術が備わっているアーチワイヤーやブラケットなどの矯正装置は形が従来のものより簡素になっていて、1回の治療時間の短縮になります。


また、特に矯正で痛みを感じやすいのは、矯正を始めたばかりの時期で、デコボコの強い歯並びを整える時に強く痛みを感じやすいです。ライトフォースの矯正装置は、弱い力で歯を動かしていくため、歯根膜の血行不良が起きにくく痛みを抑えることが可能です。また、歯を効率的に動かす時に必要なのは、強い力ではなく適切な力を長く加え続けることが研究でもわかっています。つまり、弱い力で歯を動かすライトフォース矯正装置は治療期間を短くし、痛みを最小限にできるのです。
当院ではライトフォース矯正装置を取り入れて患者さんの負担が大きくならないようにしています。
目立ちにくい矯正治療を検討している方は、裏側矯正とあわせてマウスピース型矯正の説明をさせていただきます。矯正装置によってメリット・デメリットは異なり、患者さんのライフスタイルに合った装置を提案いたします。

「矯正装置のギラギラとした見た目に抵抗がある…」といって矯正治療に一歩踏み出せない方もいると思います。
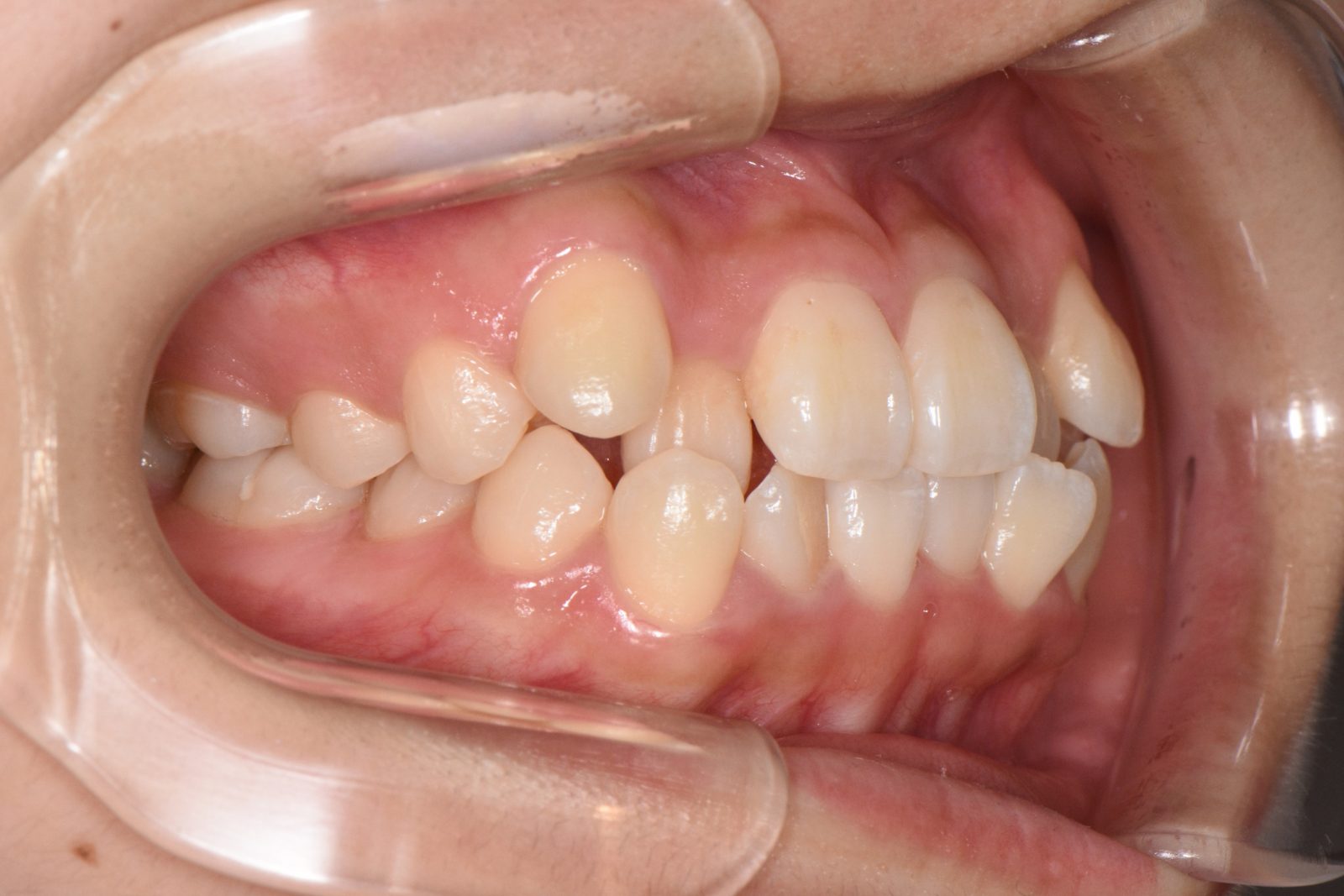
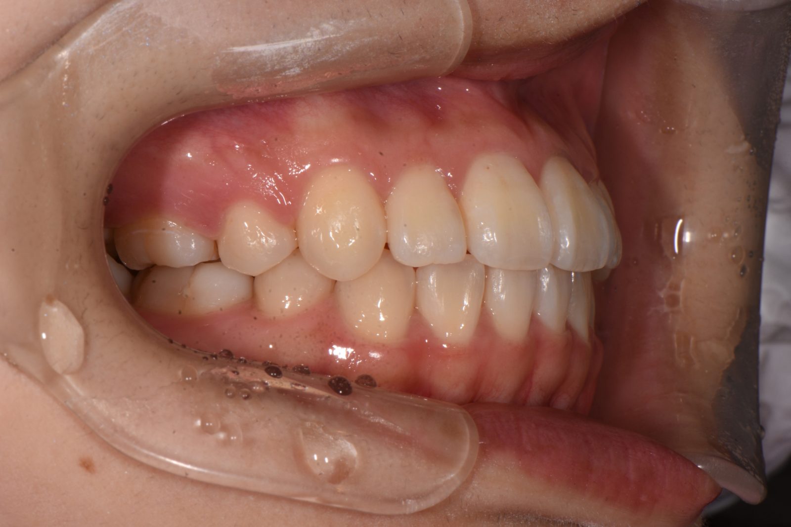
裏側矯正は、歯の裏側にブラケットとワイヤーを装着する治療法です。矯正装置が周囲の人から見えにくいため、矯正をしていることを知られずに理想とする歯並びを手に入れることができます。
特に真正面から口元をみた時には、矯正をしていることはわかりませんが、裏側矯正は治療の難易度が高く、限られた歯科医院でしか行っていません。なお、次からは裏側矯正のメリットについて紹介します。

裏側矯正では、装置を歯の裏側に装着するため、周囲の人から矯正をしていると気づかれる心配がほとんどありません。
そのため、接客業や営業など、人と会話をする仕事をしている方におすすめの治療法です。
ただ、裏側矯正は高度な技術が必要で、費用が高額になりやすいです。費用を抑えつつ、矯正中の見た目を気にしたくない方には「ハーフリンガル」という矯正方法もあります。

ハーフリンガル矯正は、上あごは歯の裏側に、下あごは表側にブラケットとワイヤー装置を付ける方法です。下あごの歯は下唇で隠れるため、装置が見えることはほとんどありません。しかし、笑った時に下の歯が見えやすい方は装置が見えてしまうこともあります。

歯は、装置が付いている方向に動きやすい性質があります。歯の裏側に矯正装置を付けることで、歯を内側に引っ張りながら歯並びを整えていくため、出っ歯が改善しやすく効率的に治療が進みやすいです。

歯並びが悪くなる原因のひとつとして「舌癖(ぜつへき)」があります。舌癖は、舌で歯を押す癖のことで、継続的に歯に力が加わると「出っ歯」や「叢生(ガタガタの歯並び)」「開咬(歯と歯の隙間が大きい)」といった歯並びになりやすいです。
そのため、表側のワイヤー矯正の場合には、癖を改善するトレーニングを取り入れるのが一般的ですが、無意識に行っている癖を直すのは簡単ではなく、途中で止めてしまう方もいます。
しかし裏側矯正は、舌が装置に当たる不快感から舌の癖が改善し、正常な位置になりやすいのです。また、舌の癖が矯正中や矯正後の歯並びに悪影響を与えることがあります。
例えば、舌の癖を改善しないまま表側のワイヤー矯正治療を始めても、「舌が歯を押してしまい「なかなか歯が動かずキレイに並ばない」「想定していた矯正期間より長引いた」といったトラブルに繋がることも否定できません。矯正後では、舌で歯を押す癖が残っているため、キレイになった歯並びが元の状態に戻る「後戻り」の現象が起きやすいです。
こういったトラブルは長い治療期間を無駄にするだけでなく、さらに費用を追加で支払うことにもなります。矯正中のトラブルの防止、矯正後のキレイな歯並びを維持するためにも、舌癖が原因で歯並びが悪くなった方には、歯並びと舌の癖を改善できる裏側矯正がおすすめです。

裏側のワイヤー矯正は、表側の矯正に比べて虫歯になりにくい特徴があります。虫歯になりにくい理由のひとつが「唾液」です。そもそも、唾液には殺菌作用や洗浄作用といった性質があり、口内を清潔に保ってくれます。
歯の裏側は表側に比べて、唾液で潤っていて乾燥しにくいため、虫歯や歯周病になるリスクが軽減されます。ただし、裏側矯正は虫歯や歯周病に「なりにくい」だけで、毎日の歯磨きケアを怠ると、虫歯や歯周病が発症します。
矯正中に虫歯や歯周病を発症すると、症状によっては一度、矯正を中断し治療することで、矯正期間が長引いたり費用が追加でかかったりする場面もあります。そのため、裏側矯正でもしっかりと歯磨きケアが必要不可欠です。
ここまでは、裏側矯正のメリットを紹介してきましたが、もちろんデメリットもあります。下記からは、裏側矯正のデメリットについて紹介します。なお、ここで紹介するデメリットは一般的なものであり患者さんによってはデメリットに感じない部分もあると思います。自分にとっては「何がメリットであり、デメリットなのか」を考え、矯正装置を決める時の参考にしてください。


歯科矯正では、歯を動かしていくと一時的に噛み合わせの位置がズレて食事がしにくいと感じることがあります。例えば、奥歯の噛み合わせが深い場合、矯正中は上下の前歯が当たらないような時期もでてくるため、食べ物を上手く咀嚼できないと感じやすいでしょう。
矯正装置が歯の裏側に付いていると、舌が装置に当たって上手く動かせないことがあります。装置で舌の動きが制限されるため、話しづらい、発音しにくいと感じやすいでしょう。ただ、しばらくすると矯正装置を付けている状態に慣れて、話しづらさが解消されるケースがほとんどです。

表側の矯正では既製品のブラケット装置を使用しますが、裏側の装置はオーダーメイドのものになります。歯の裏側は表側に比べて形が複雑になっていて、歯に適した大きさのものを装着しないと歯の動きが悪くなるためです。
また、歯に合ったオーダーメイドの装置を制作するまでに細かい工程や調整時間がかかるといった点も費用が高額になる理由になります。こういったさまざまな理由から、表側に比べて裏側のワイヤー矯正の治療費は、1.5倍ほど高く設定している歯科医院が多いです。
歯科矯正を行っている歯科医院は、ほとんど表側矯正をしています。しかし、裏側矯正は特殊な知識と技術が必要になるため、治療ができる歯科医院が限られます。「裏側矯正がしたい!」と思っても、自分の生活圏の範囲内で裏側矯正を行っている歯科医院がないこともあります。
「矯正中は、痛みや違和感などの不快感が辛い…」といった情報を目にすることもあると思います。そういったネガティブな情報から「歯並びをキレイにしたいけど、矯正に耐えられないかもしれないからやめておこう…」と歯科矯正を始めるハードルが高くなっている方も少なくありません。
当院では、矯正中の不快感を最小限にして、患者さんが治療に取り組みやすいよう次のような「こだわり」を提供しています。

ワイヤー矯正では、歯並びに沿って使用するワイヤーを手作業で曲げて調整していくスタイルが一般的です。ワイヤーを曲げる角度によって歯にかかる力が変わり、痛みの強弱にも関わってきます。また、歯科医師のワイヤーの曲げ方や屈曲させる箇所が多いほど治療の誤差ができやすいため、裏側矯正は難易度が高いと言われるのです。
当院で使用している「ストレートワイヤー」は、曲げる部分がなく、歯を動かしたい位置に移動しやすいのが特徴です。この方法では歯科医師が手作業でワイヤーを曲げる必要性がほとんどなく治療の誤差を最小限でき、矯正中の痛みを抑えます。

現在の矯正装置は、従来に比べて歯に付けるブラケットが小さくなっているため、違和感を最小限にできます。ブラケットが大きいほど、違和感が強く粘膜や舌に当たりやすくなります。その結果、粘膜や舌を傷つけて不快感が増し、ストレスを感じやすいです。小型のブラケットを使用することで、そういったトラブルを減らし矯正中も快適に過ごすことが可能です。

重度の「出っ歯」や「受け口」の歯並びを整える時には、治療期間が長くなりがちでしたが、矯正用アンカースクリューを矯正装置と併用することで時間短縮になります。
矯正用アンカースクリューとは、小さいネジのことです。このネジを歯茎の骨の部分に埋めて歯を動かす時の固定源にすることで、効率的に歯を移動できます。
通常の裏側矯正で歯を大きく動かす場合には、奥歯を固定源としているため、奥歯も一緒に動いてしまいます。矯正用アンカースクリューを使用することで奥歯を動かさず前歯だけを整えることが可能です。
当院では、患者さんが抱えていらっしゃるお口のお悩みや疑問・不安などにお応えする機会を設けております。どんなことでも構いませんので、私たちにお話ししていただけたらと思います。
ご興味がある方は下記からお問い合わせください。
