飯能市双柳で「インプラント/オールオン4」|飯能矯正歯科クリニック

キービジュアル

痛み」を抑え
長く使える」インプラント治療

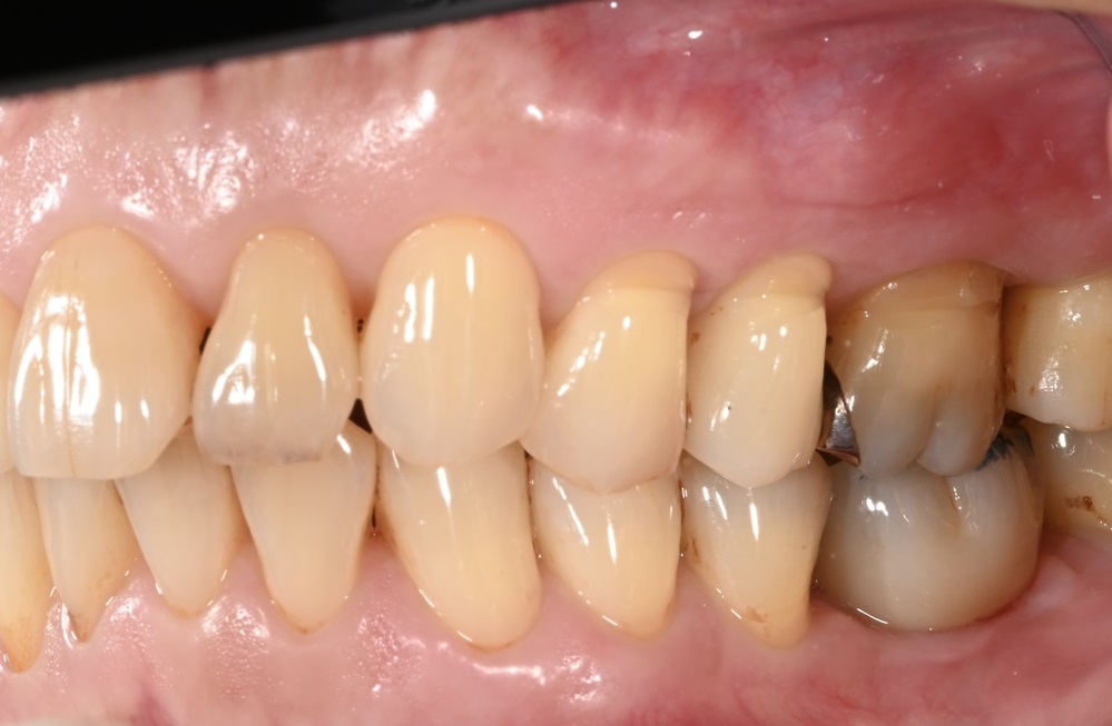
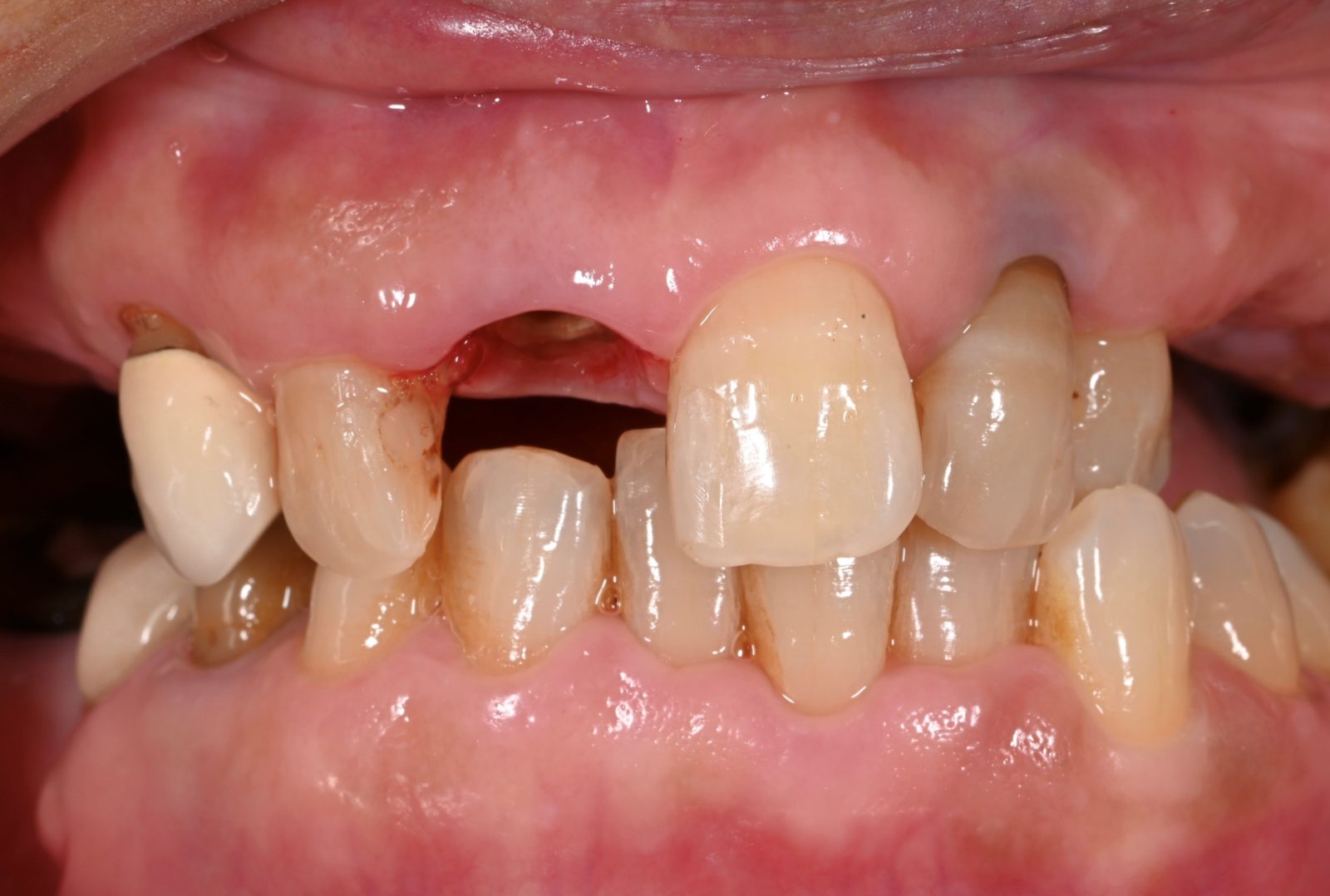
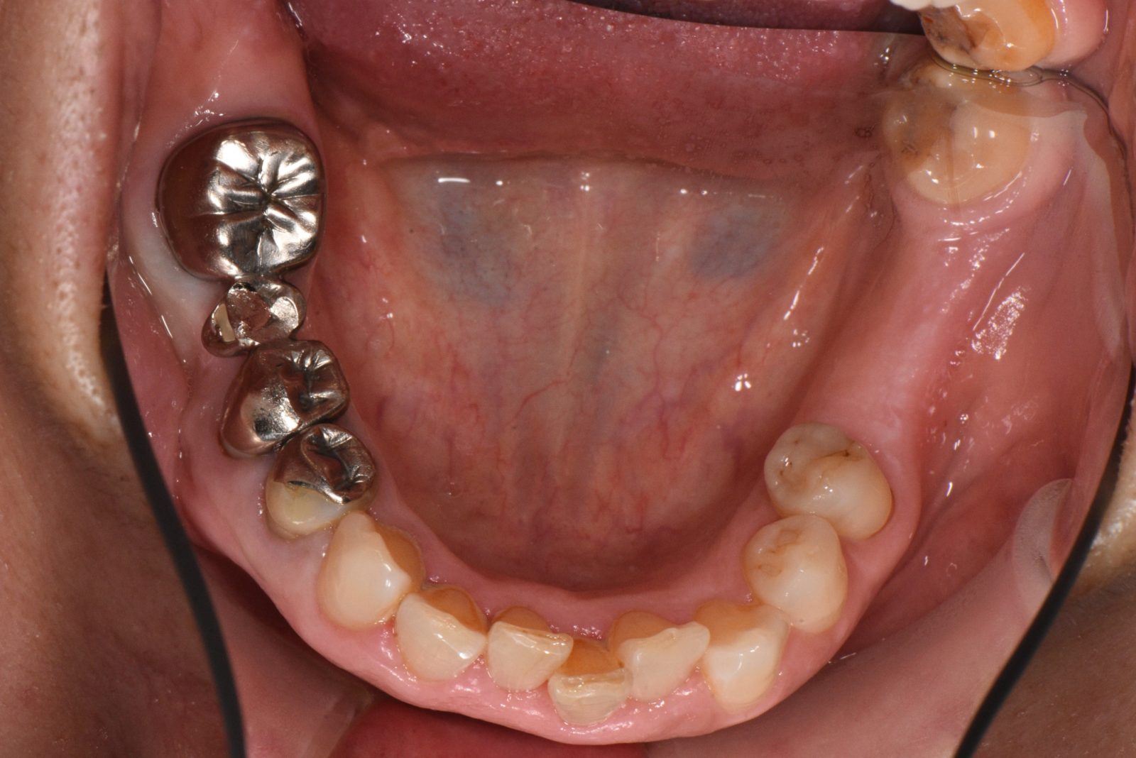
  • 治療前
  • 治療後
  • 治療前
  • 治療後
  • 治療前
  • 治療後
  • 治療前
  • 治療後
  • 治療前
  • 治療後
  • その日に噛める「抜歯即時荷重」
  • 切らずに行う「フラップレスインプラント」
  • 総入れ歯の悩みから解放「All-on-4

患者さんへの負担が少ないインプラント治療

画像

インプラントとは、顎の骨に金属の土台を埋め込み、そこに人工歯を取り付ける治療のことです。入れ歯やブリッジと同じく、失った歯を補う役割があります。しかし、入れ歯やブリッジのように他の健康な歯に負担をかけることがありません

また、まるで自分の歯かのような噛み心地も再現できます。ほかの治療法と比べるとメリットが多いように見えますが、インプラントを入れるためには外科手術が必要です。

そのため、患者さんに負担をかけやすい治療法としても知られています。そこで当院では、できるだけ負担を少なくするためのさまざまな工夫をしてインプラント治療を行っています。

精密機器を使った診断・検査

負担が少なく安全なインプラント治療を行うためには、精密機器が欠かせません。CTマイクロスコープなどを使い、より精度の高い治療が行えるようにしています。

マイクロスコープ

画像

マイクロスコープとは、歯科用の顕微鏡のことです。患部を数十倍にまで拡大して見られるため、肉眼で見るよりも正確な治療を行えます。

CT

画像

インプラントは、骨の部分に埋め込む必要があります。骨には血管や神経が通っているため、埋め込む際はこれらを傷つけないように注意しなければなりません。

どこに血管や神経が通っているのかを把握するのに役立つのがCTです。CT検査を行うことで、お口の中を360度しっかり撮影できるので、安全な治療が行えるようになります

コラム「excad(エクゾキャド)」による3D

画像
画像

当院では、治療精度を向上するために「excad(エクゾキャド)」を導入しています。excadはデジタル技術を活用して、インプラントの設計からプランニングを行うことができるソフトです。このソフトを利用することで、お口を3Dで把握することができ、インプラントの正確な設計位置決めが可能になります。

治療計画を正確に行えるため、無駄な治療を省くことができ、治療期間の短縮にもつながります。

コンピュータインプラントで人為的ミスを最小限に

画像

SMOPガイド

画像

人為的ミスを最小限に抑えるために、当院ではSMOPガイドを導入しています。SMOPガイドとは、インプラントを入れる位置をコンピュータでシミュレーションできるシステムのことです。

CTで撮影したデータを取り込むことで、どのように治療を行っていくべきなのかをコンピュータが計算します。神経や血管を傷つけないサイズのインプラントを選んでくれるのはもちろん、インプラントをどの位置にどのような角度で入れるべきなのかまで緻密に判断してくれます。

サージカルガイド

画像

コンピュータが作成したデータを元にサージカルガイドを作成し、手術のリスクを軽減しています。サージカルガイドとは、患者さんのお口に合わせて作成したマウスピースのようなもので、どこにインプラントを入れたら良いのかが分かるように穴が空いています。

このサージカルガイドを装着してから治療を行うので、人為的ミスを最小限に抑えることができるのです

手術当日に歯を入れられる

画像

これまでのインプラントは、抜歯してから傷口が治り、骨が安定するまで手術ができませんでした。つまり、数か月もの期間を歯がない状態で過ごす必要があったのです。いくら手術のためとはいえ、歯がない状態が数か月も続くのは耐え難いものでしょう。

インプラントの技術は日々進歩しており、現在は抜歯した当日に新しい歯を入れることができます抜歯即時荷重と呼ばれているもので、歯を抜いたときにできた穴にそのままインプラントを入れるため、歯茎を切る必要がありません。治療期間が短くなるので、来院回数も少なくできます

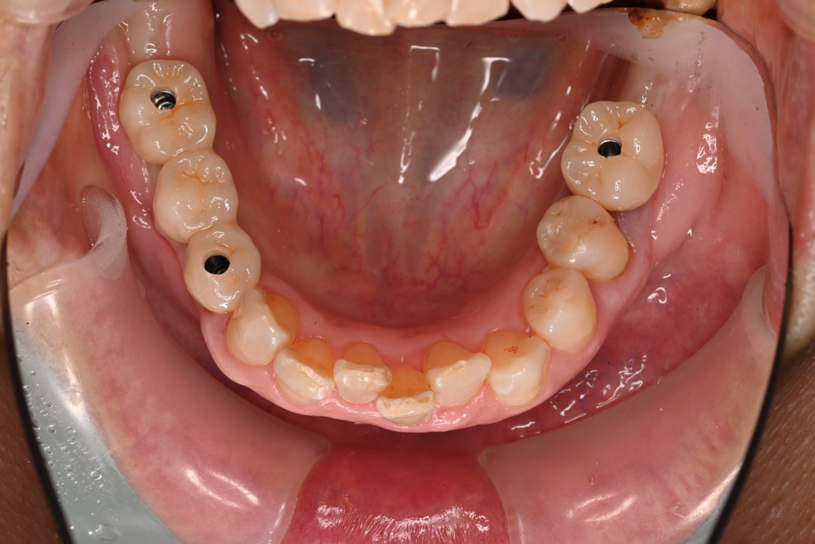
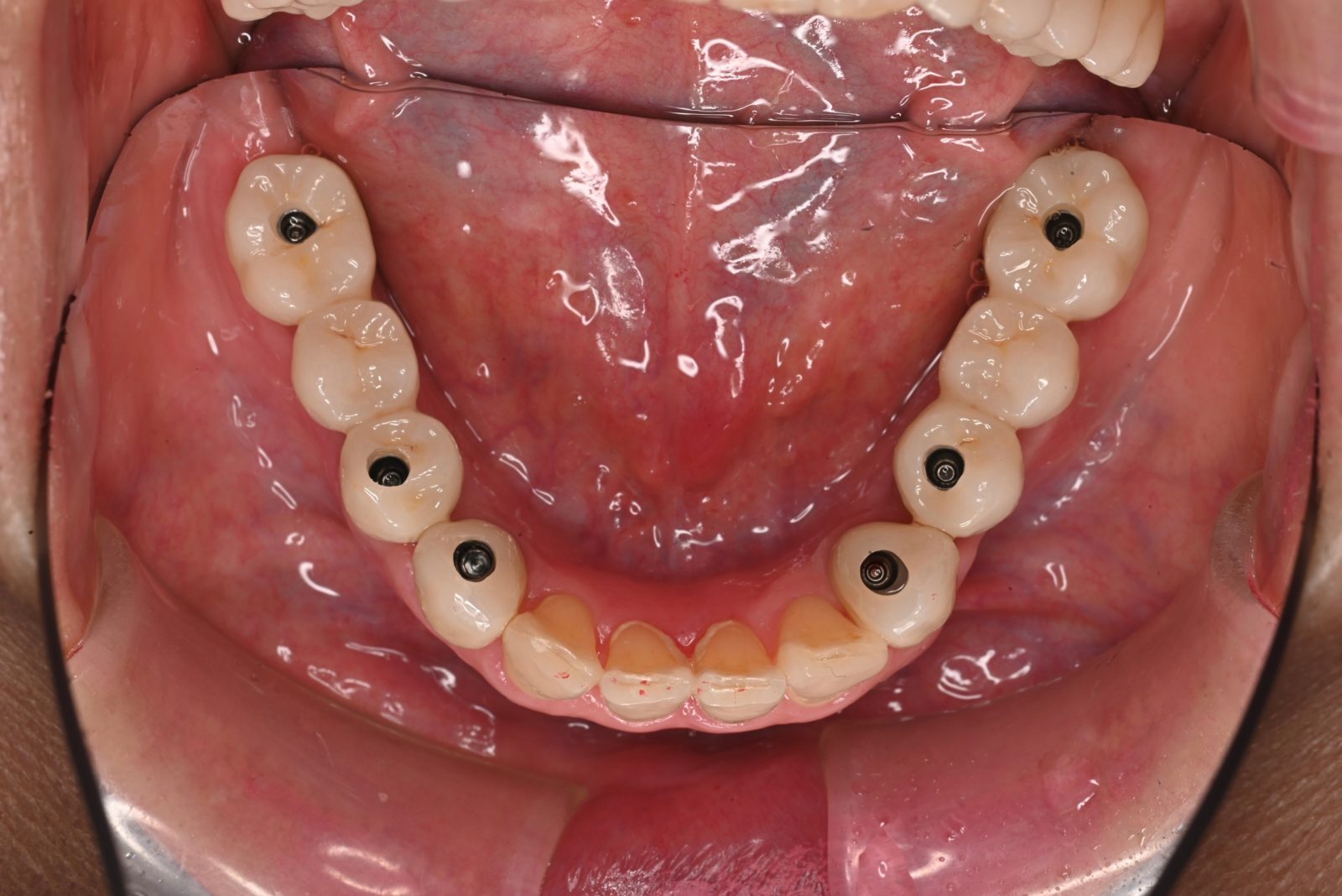
4本のインプラントですべての歯が入るAll-on-4に対応

画像

インプラントのメリットは、周りにあるほかの健康な歯には負担をかけないこと、ご自身の歯のような噛み心地を再現できることです。しかし、どうしても費用の負担が大きくなってしまいます。

失った歯の本数だけインプラントを入れようとすると、負担に感じる方が多いのではないでしょうか。そこで行っているのがAll-on-4(オールオンフォー)です。片顎につき最小4本のインプラントですべての歯を支えることができます

フラップレスで切らない、縫わない、腫れない治療を実現

画像

お口の状態によっては、フラップレスという治療法を行える場合があります。フラップレスとは、歯茎の切開を行うことなくインプラントを入れる治療法です。小さな穴を開けるだけで済むため、「切らない、縫わない、腫れない」を実現できます。治療後の痛みも最小限で済みます。

「信頼性」の高いインプラントを採用

インプラントは長年にわたって自分の歯と同じように数十年使うものです。そのため、途中で何か不具合が起きないよう、信頼できるメーカーのインプラントを選ぶ必要があります。当院では、カムログを採用しています。

カムログ

画像

カムログはドイツでシェア第1位を誇るインプラントメーカーです。ヨーロッパ、アメリカ、アジアなど、世界各国で広く使用され、高い評価を受けています。インプラント本体と人工歯を繋ぐ連結部分の安定性に優れているのが特徴で、そのため長期間使用しても人工歯がずれにくく、噛み合わせの悪化を防ぐことができます。

歯科技工士との「連携」

画像

インプラントの人工歯を製作するのは、歯科技工士と呼ばれる専門家です。そのため、人工歯の精度は歯科技工士の腕に左右されると言っても過言ではありません。

当院では、有限会社「ファイン」の代表である上原芳樹氏と株式会社「プロミネント」と連携し、高精度の人工歯を可能な限り早く患者さんに提供しています。

有限会社ファイン代表取締役

上原 芳樹

上原 芳樹
経歴
有限会社ファイン 代表取締役
新大阪歯科技工士専門学校 専攻科 非常勤講師
大阪SJCDテクニシャンコース ディレクター
ジンマーデンタル社 公認インストラクター

骨の量が足りなくてインプラント治療ができないと言われた方にも対応

インプラントは、顎の骨に金属の土台を埋め込む必要があります。そのため、顎の骨の量が少ない方は、インプラント治療を断られてしまうケースが少なくありません。

当院では、そのような方の治療にも対応しております。顎の骨の量を増やす骨造成という治療を行うことで、骨の量が足りない方でもインプラント治療を行えるようになる可能性があります

  • 治療前
  • 治療後
  • 治療前
  • 治療後

治療後は「インプラント周囲炎」に注意が必要です

画像

インプラント周囲炎とは、インプラント周囲の歯茎や骨に炎症が生じる病気です。歯周病と似ており、最悪の場合、埋入したインプラントが抜けてしまうこともあります。プラークや歯石の蓄積が主な原因で、口腔内の衛生管理が不十分な場合に発生しやすいため、セルフケアの徹底と、歯科医院での定期的なメンテナンスを受けていただき、予防を行う必要があります。

画像

インプラント治療の流れ

「どのようにインプラント治療を行っていくの?」と不安に思われている方もいらっしゃるでしょう。ここでは、当院のインプラント治療の流れについて紹介します。

1カウンセリング

画像

まずはカウンセリングを行います。疑問点などありましたら、お気軽にご相談ください。しっかりとお話を伺い、疑問や不安をなくしてから検査に移ります。

2検査・診断

画像

インプラントを入れられる状態にあるのか、骨造成を行う必要があるのかなどを事前に検査します。CTやレントゲンなどを使って精密検査をし、もしもインプラント治療が適さないと判断するに至った場合は、ほかの適切な治療法を提案する場合もあります。

3治療法の説明

画像

検査の結果、インプラント治療が適していると判断した場合は、治療のメリットやデメリットなどをより詳しく説明させていただきます。説明を聞いたうえで治療を受けるかご判断ください。納得したうえで治療を始められるよう、しっかりとサポートいたします。

4虫歯や歯周病の治療

画像

虫歯や歯周病がある場合は、先にこちらの治療を行います。お口の環境をしっかり整えてからインプラント治療を行うのでご安心ください。

5インプラント手術

画像

術式にもよりますが、入れるインプラントの本数が1~2本であれば、1時間ほどで手術が終わります。抜歯即時荷重であれば、当日に仮歯を入れることが可能です。

6インプラントの定着後、人工歯を入れる

画像

インプラントが骨と結合して定着するまでには、約1~3か月かかります。定着したのを確認できたら、人口歯を入れて噛み合わせのチェックをして治療は完了です。

7メンテナンス

画像

インプラントを長く使うためには、定期的にメンテナンスを行う必要があります。入れたインプラントが虫歯になることはないものの、まれにインプラント周囲炎になることがあるのです。

インプラント周囲炎を発症すると、炎症が歯肉から歯槽骨まで広がりインプラントが抜けてしまうことがあります。このようなことがないよう、定期的なメンテナンスが欠かせません

担当医からのメッセージ

画像

インプラントの最大のメリットは、ほかの健康な歯に負担をかけないことです。失った歯を補う治療法には入れ歯やブリッジなどもありますが、これらの治療法は健康な歯を支えとするため、数年後に抜歯しなければいけなくなることがあります。

インプラント治療ではほかの歯に負担をかけないので、残っている歯の健康も維持することができるのです。どうしても費用はかかってしまいますが、歯を維持するという側面では優れた治療法として知られています。ほかの歯の健康も守るということを意識して治療法を判断いただけると嬉しく思います。

初診「個別」相談へのご案内

当院では、患者さんが抱えていらっしゃるお口のお悩みや疑問・不安などにお応えする機会を設けております。どんなことでも構いませんので、私たちにお話ししていただけたらと思います。
ご興味がある方は下記からお問い合わせください。

24時間受付中 WEB予約

ご予約・お問い合わせ

042-974-5939

〒357-0021
埼玉県飯能市双柳1248
(駐車場13台分を完備)

このページの先頭に戻る