飯能市双柳で「安いセラミック治療/ラミネートべニア」|飯能矯正歯科クリニック

キービジュアル

口元」から美しさを創造します
セラミックの被せ物:8.8万円~(税込)
※自由診療(保険適用外)

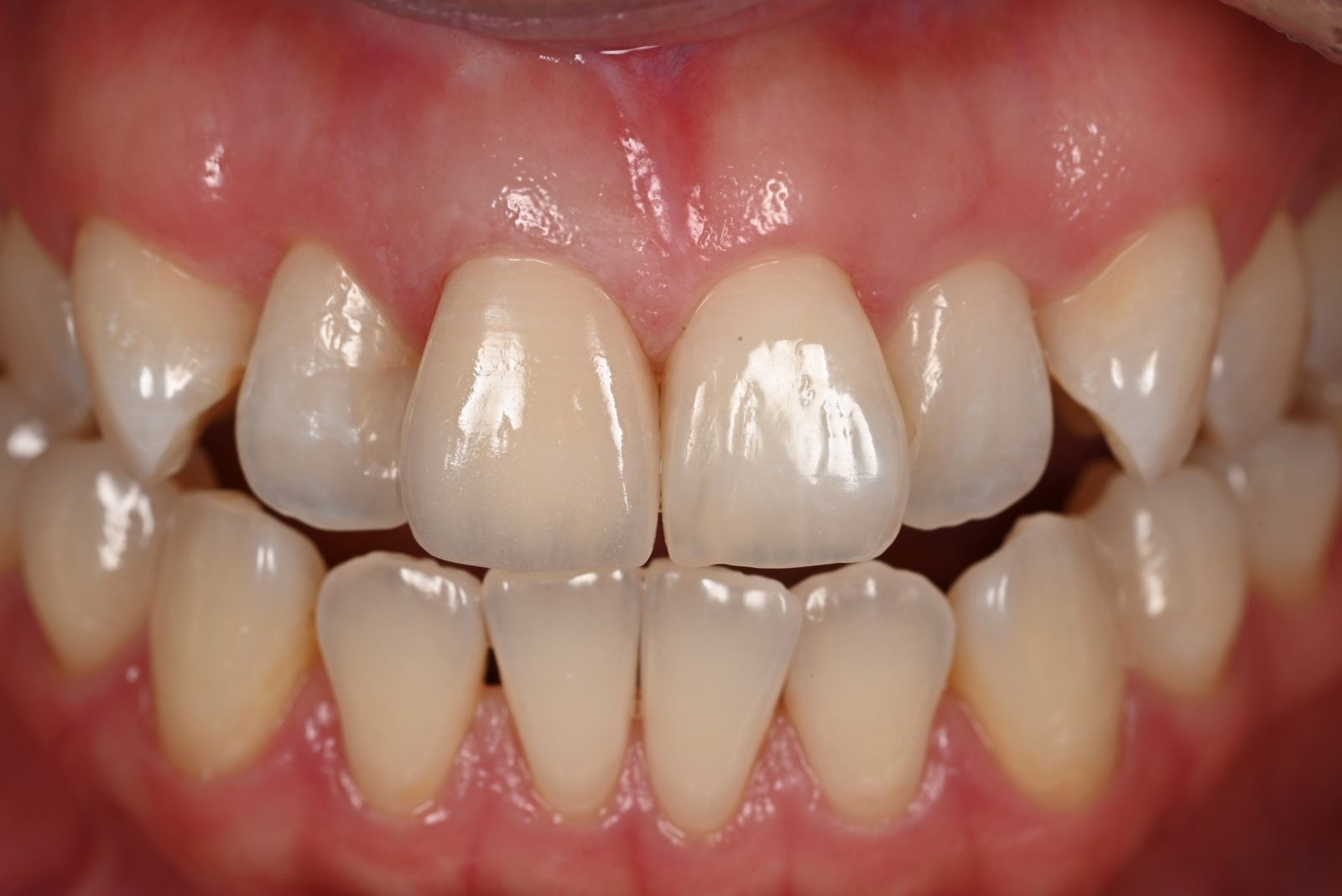
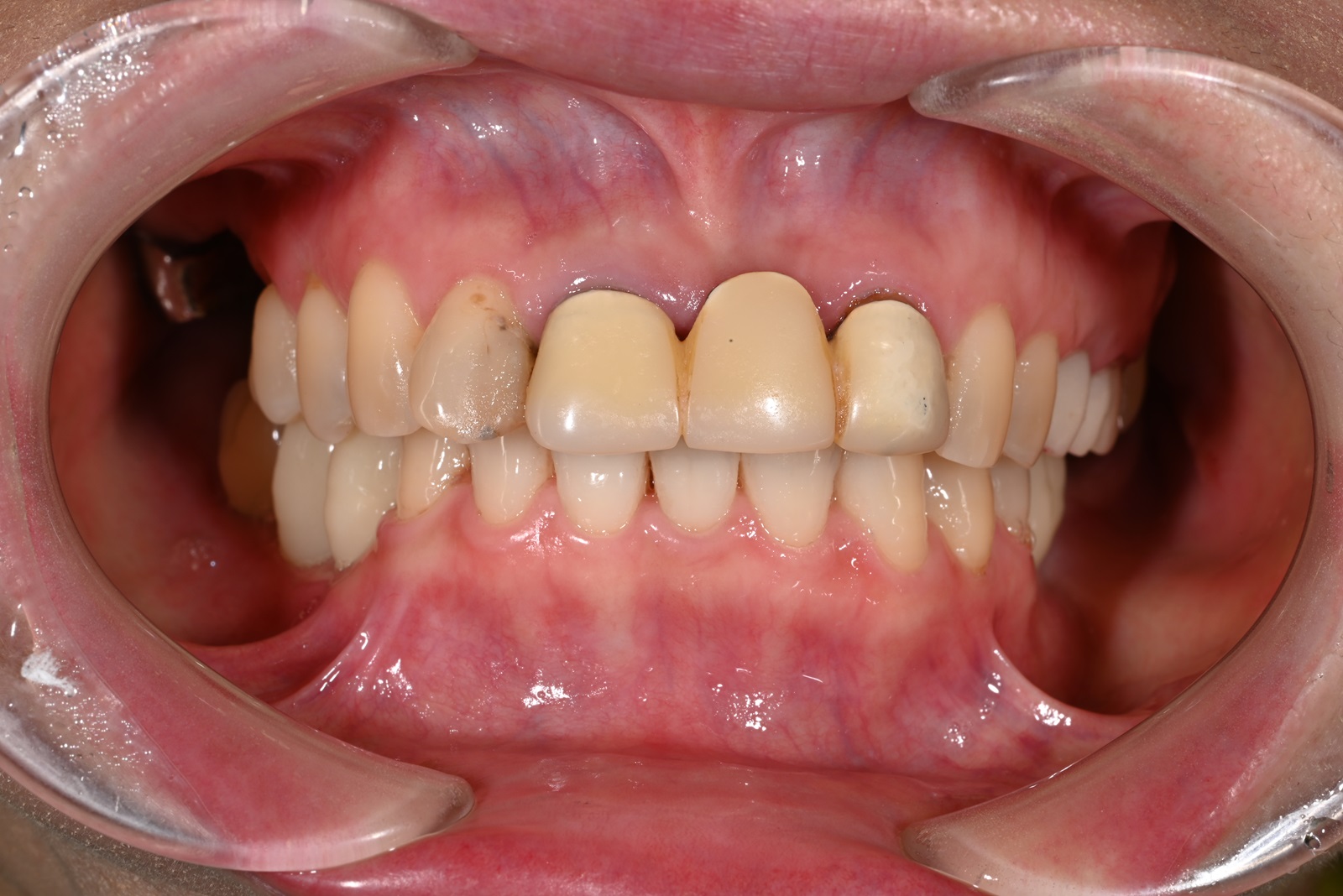
  • 治療前
  • 治療後

治療内容:セラミックスクラウン、ラミネートベニア
期間:1ヶ月
費用:30万円(自由診療)
リスク・副作用:脱離、破折
※治療結果には個人差があります。

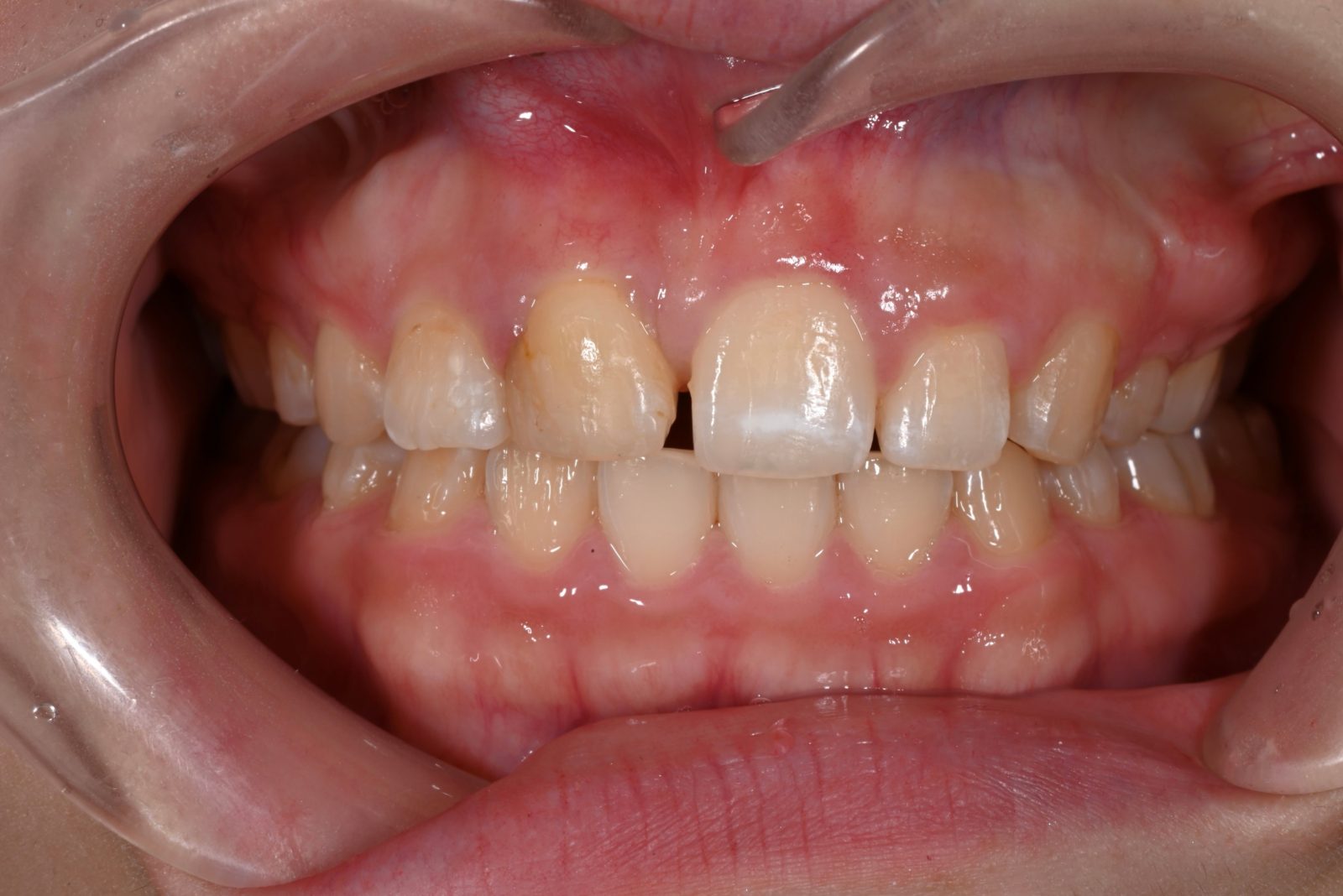
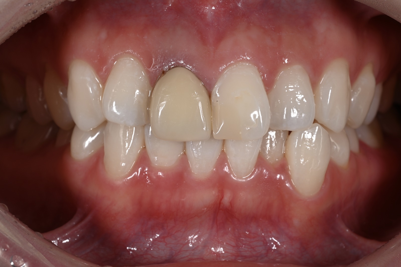
  • 治療前
  • 治療後

治療内容:セラミックスクラウン・ダイレクトボンディング
期間:1ヶ月
費用:20万円(自由診療)
リスク・副作用:破折、脱離
※治療結果には個人差があります。

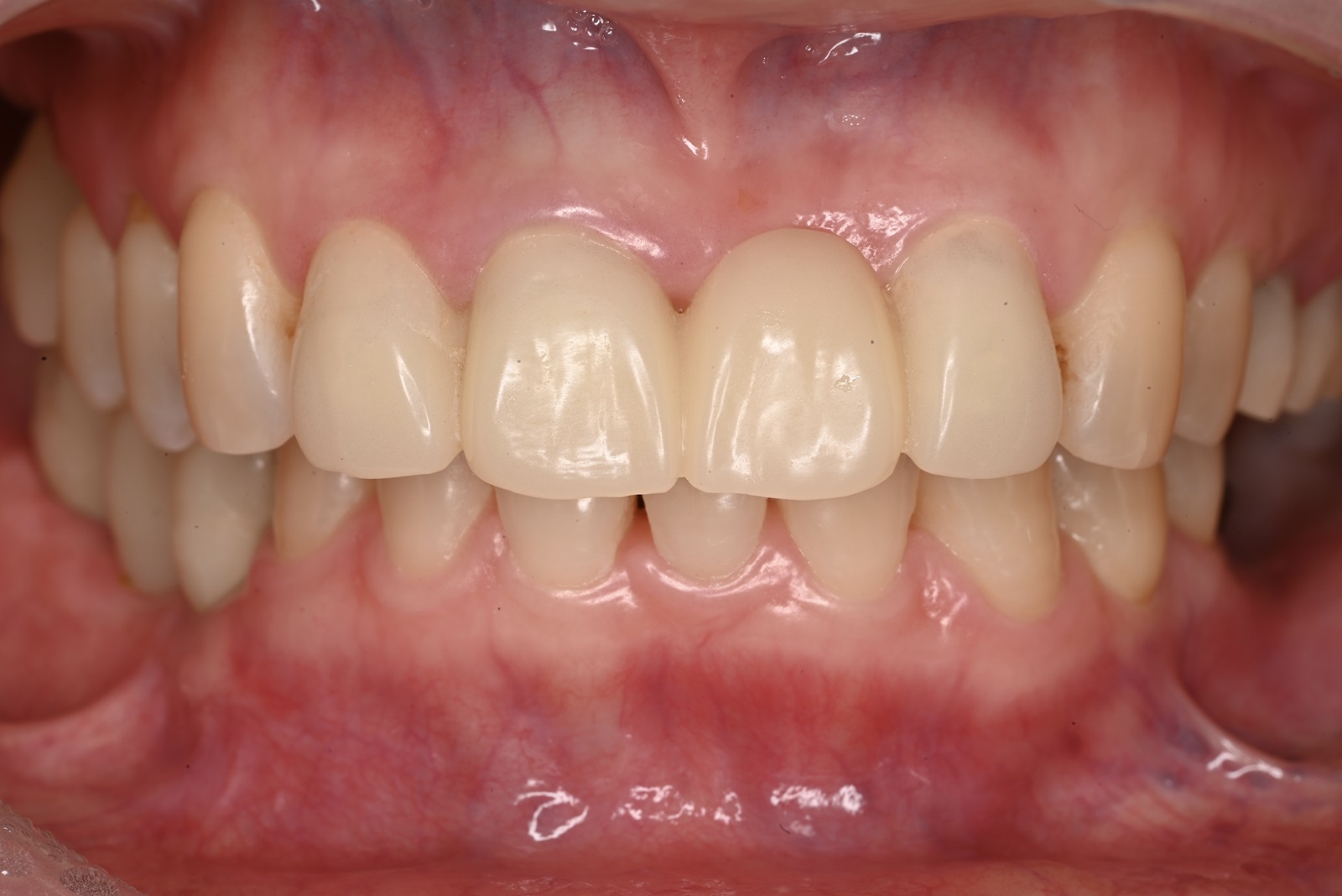
  • 治療前
  • 治療後

治療内容:セラミックスクラウン
期間:1ヶ月
費用:16万円(自由診療)
リスク・副作用:破折、脱離
※治療結果には個人差があります。

  • 理想の「色」や「形」を創造
  • 納得がいくまで調整可能

コラム当院はデジタルシミュレーションで治療精度を向上させています

画像

当院では、セラミックの被せ物を作製する際にexocad(エグゾキャド)を活用しています。光学スキャナーで採取した患者さんのお口の型を読み込み、患者さんに最適な治療法および被せ物の設計を行うことができます。

デジタル技術を活用することで、さまざまな治療パターンのシミュレーションが行えるため、患者さんの理想とする治療を実践できます。

また、詳細な治療計画を立案できるため、治療期間を短縮することも可能です。

 

患者さんの「理想の歯」を追求します

画像

あなたにとって、理想の歯はどのような歯ですか?

  • 黄ばみのない真っ白な歯
  • 歯並びが整っている
  • 歯の形が整っている
  • 歯の色と歯並びを同時に整えたい
  • 銀歯を目立たなくしたい

人それぞれ理想とする歯は異なります。そのため、理想に合わせた治療を行うことが重要です。しかし、歯の悩みが複数ある場合、一つの治療ですべてに対応するのは簡単ではありません。

そこで役立つのが、セラミックの詰め物や被せ物を使った治療です。審美セラミック治療を行えば、歯の色を好きな色に調節でき、同時に歯並びも整えることができます。同時に複数の理想を叶えられる優れた治療法だといえるでしょう。

さらに当院では、審美セラミックによって実現した理想の歯を長期的に安定させる工夫を行っています。せっかく美しい歯を手に入れても、すぐ虫歯になったり噛み合わせに問題が出たりしては意味がありません。歯を美しくし、さらに長期間にわたってその美しさを安定させる治療を当院では行っています。

「客観的な美しさ」と「主観的な美しさ」を両立

自分が美しいと思っている歯であっても、第三者から見たら美しく感じないかもしれません。逆に、第三者からしたら美しい歯であっても、自分にとっては納得がいかない歯の場合もあるでしょう。

患者さんにとって理想と思える歯に仕上げることがもっとも重要ですが、当院では第三者から見ても美しいと思われるような治療を心がけています。自己満足だけで終わらない治療を一緒に行っていきましょう。

画像

患者さんの意見を確認して主観的な美しさを実現

まずは、患者さんがどのような歯に仕上げたいと考えているのか、理想を確認します。ただ話を聞くだけでなく、実際に仮歯を装着したり模型を作ったりして確認するため、理想とのズレが最小限で済むのが当院の魅力です。

カウンセリング

画像

審美セラミックによる治療を行う前に、まず詳しくカウンセリングを行います。どのような色にしたいのか、歯並びで気になっているところがあるかなどをしっかりヒアリングし、理想像のすり合わせを行っていくのです。

もし理想とする歯の写真や雑誌の切り抜き、インスタ等のスクリーンショットがありましたらご持参ください。具体的な写真があるとイメージ像を共有しやすくなります。

模型を使用してイメージを具現化

画像

デジタルデザインを活用し、患者さんが理想とする歯を目で見て確認できるようにしています。3Dでさまざまな角度から確認できるので、実際に見て気になるところ、もっとこうしたいなどの意見がある場合はお気軽に仰ってください。この段階でしっかりと理想のイメージに近づけるよう反映します。

仮歯を装着

画像

ワックスによる模型で理想像をしっかり確認したら、仮歯を装着して仕上がりをイメージしていただきます。仮歯を装着すると、これまで気にならなかったところまで見えてくることもあるでしょう。歯の色や歯並びに納得いただけるまで、しっかりと調整を行います。

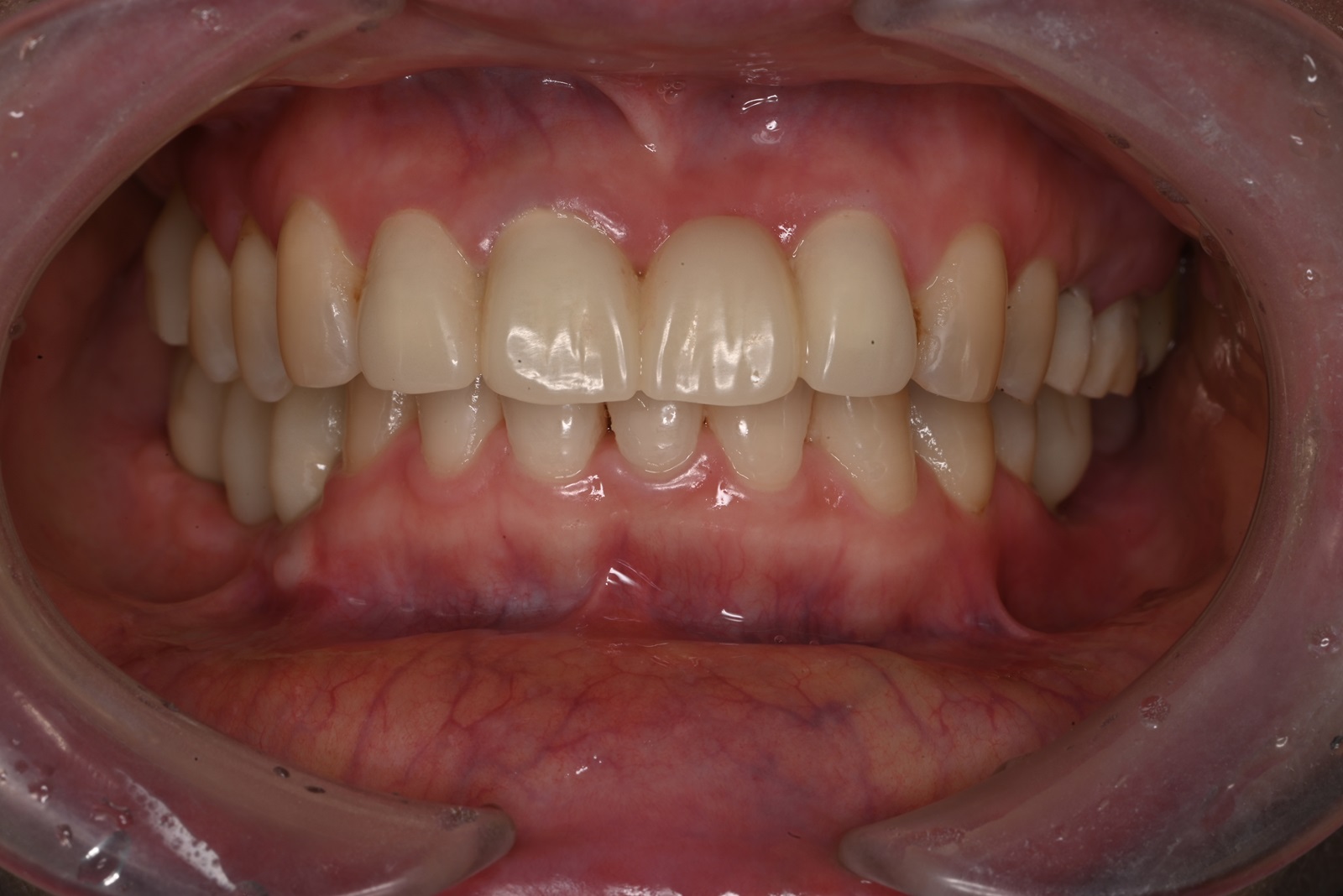
  • 画像

    術前

  • 画像

    仮歯

客観的に見ても美しい歯に

画像

客観的に見ても美しいと思える歯を作るためには、プロの力が必要です。第三者が見て美しいと感じる歯には、一定の法則が存在します。この法則を活かすことで、誰が見ても美しい歯を作っていくのです。

唇と歯のバランス

画像

美しい口元は、笑ったときの下唇のアーチと上の歯のアーチが一致しているといわれています。当院では、アーチに着目して歯のバランスを整えています

ゴールデンプロポーション

画像

歯並びには、ゴールデンプロポーション(黄金比)があるのをご存知でしょうか。中切歯:側切歯:犬歯のバランスが1.618:1:0.618になっている状態が理想です。

正中線を整える

画像

正中線とは、上下の歯の中心線のことです。正中線と顔の中央のラインをしっかり合わせることで、歯並びのバランスを整えます

生物学的幅径

画像

歯を美しく見せるためには、歯肉にも着目することが重要です。歯槽骨頂から歯肉溝底部までの歯肉の付着部のことを生物学的幅径といいます。この生物学的幅径もしっかり意識し、自然で美しい口元を作ります

美しい歯を「長期安定」させる工夫

審美セラミックによって実現した美しい歯を長期間にわたって長持ちさせるため、当院では、初期治療の徹底、精密機器の活用を徹底しています。それぞれご紹介します。

徹底した初期治療

画像

審美セラミックは、土台となる歯にセラミックの被せ物を装着して色合いや歯並びを整える治療です。土台がしっかりとしていなければ、どんなにきれいなセラミックの被せ物を作ってもすぐに問題が起きてしてしまいます。

そのため、当院ではセラミック治療を行う前に土台となる歯の治療を行っています。虫歯歯周病をあらかじめしっかりと治療しておくことで、セラミック治療後の歯を長期間にわたり美しく保てるようにしています。

光学スキャンの活用

画像

セラミック治療を行う際に、患者さんの歯型を採取します。その際、当院では光学スキャンと呼ばれる精密機器を使用しています。ペン型のカメラで口腔内をスキャンするだけで、精密な型取りが行えるため、嘔吐反射の強い方でもストレスなく型取りが可能です。

マイクロスコープ/高倍率ルーペの使用

画像
画像

セラミック治療は、歯を削りその上に被せ物して、歯を綺麗にする治療です。この時、歯とセラミックとの間に隙間が生じ、そこから虫歯菌が侵入することがあります。

そうすると、被せ物の下で虫歯が進行するリスクが高くなります。当院では、これらを回避するために、マイクロスコープや高倍率ルーペを活用しています。

視野を拡大することで、隙間なくピッタリと歯にセラミックを被せることができます。

歯科技工士との連携

画像

セラミック治療で欠かせないのが、歯科技工士との連携です。被せ物の仕上がりは、歯科技工士の腕にかかっています。当院では、国内最大手の技工所と連携していることが特徴です。そのため、患者さんの理想をしっかりと反映させた被せ物の提供ができます。

ダイレクトボンディング法

画像

セラミック治療は、短期間で理想の歯を手に入れられる治療法です。このほか、ダイレクトボンディング法も短期間で治療が終わる方法として知られています。

ダイレクトボンディング法とは、最小限だけ歯を削ってそこにレジンを詰める治療法です。低価格で小さな虫歯や欠けた歯を治したり、銀歯を白い歯にしたりできます

ノンプレップベニア

ノンプレップベニアとは、歯を削らずに歯の色合いや形態不良などを治療する方法です。通常、セラミック治療を行う場合は歯を削らなければなりません。しかしノンプレップベニアなら、自分の歯を残した状態で治療ができるのです。

ガミースマイルの治療も可能

ガミースマイルとは、笑うと歯茎が大きく目立つ状態のことです。当院では、ガミースマイルの治療にも対応しています。笑うときに歯茎が気になってついつい手で隠してしまう方は、一度ご相談ください。いつでも自信がもてる笑顔を作るお手伝いをさせていただきます。

画像

自由診療に関するご案内

審美セラミックは自由診療(保険適用外)です。
治療期間:1〜3ヶ月
回数:2〜5回
リスク・副作用:破折の可能性、治療後しみることがある、神経治療が必要となる場合がある等

初診「個別」相談へのご案内

当院では、患者さんが抱えていらっしゃるお口のお悩みや疑問・不安などにお応えする機会を設けております。どんなことでも構いませんので、私たちにお話ししていただけたらと思います。
ご興味がある方は下記からお問い合わせください。

24時間受付中 WEB予約

ご予約・お問い合わせ

042-974-5939

〒357-0021
埼玉県飯能市双柳1248
(駐車場13台分を完備)

このページの先頭に戻る